动物病理学进步敬业生涯
马斯特细胞肿瘤和胰岛病常见于狗类,但在其他兽医物种,包括猫马中也低度出现。对这些疾病和许多其他兽医种类的疾病,诊断方法与标准不完全特征化,难以判断预测性改变这一点,数十年对兽医病理学的研究,是Shelley J Newman博士,美国Newman专用VetPath所有者/操作者,独立解剖病理咨询业务
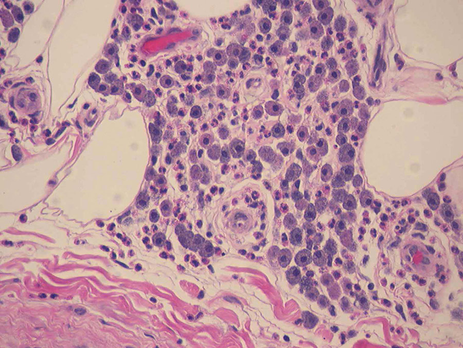
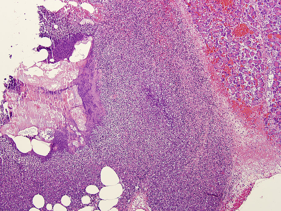
Shelley J Newman博士以兽医病理学和教育知识为名,自2000年以来,她大部分工作都与得克萨斯A&M大学胃肠实验室联手完成,今天继续,因为她是该校附属教授,诊断内分片生物检测服务队成员,博士生委员会成员最引人注意的工作环绕警犬MCT的病理特征MCT是最常见肿瘤之一,影响不同年龄狗的皮肤(剖析性),但Boxers、BostonTriers和Weimar诊断时大都带单质量狗3-14%的病例多团 — — 约50%的肿瘤恶性化,特别是在老式易处理品种中。多因子决定预测性,但肿瘤的语理学类(组织研究)非常重要。肿瘤分级总需要组织学检验,因为它有助于更精确预测行为,细胞学尚未完全实现
Newman生涯的大部分时间里 Patnaik评分系统是唯一使用系统Newman与Patnaik博士合作四年,2000年代初期在纽约动物医疗中心工作Patnaik分级系统与更新双级Kiupel分级系统同时使用,用于骨架分级并判定警犬MCT预测Patnaik系统根据各种因素,包括细胞形态学和入侵性,将警犬MCT划分为三级等级I完全有别MCT特征是良好的长期预测,可通过外科手术有效处理二级中等差分三级MCT差分并更有可能传播这使得外科控制不成功
外科是选择切片MCTs:推荐标准切除3cm环组织到1cm深度(单法平面深度),往往超出肿瘤可见边缘本标准旨在确保消除所有异常(非整形)细胞外科无法保证肿瘤不复发纽曼对16只各种狗的研究发现2cm横向差和1cm深差导致91%的一年级和二年级MCT完全消除,并用语义染色确认分析结果显示,3cm横向去除法不一定总有必要她总结说,高级MCT(三级)需要进一步调查外科边距,因为使用小边距外科切除可最小化大规模肿瘤清除相关复杂问题自那以来,许多研究者出版了大量后续研究
分子MCT标记
语理学是分析MCT标准实践,但在二零零零年代初,分子技术变得更为常用纽曼探索各种生物标志以更精确预测MCT的临床行为,因为组织学评估并不总是预测临床结果纽曼使用较新词性染色物,包括异常核组织者区域银色染色物 — — 存在于高增殖细胞中 — — 和反体面向其他高增殖细胞,这些细胞可能致癌原生缺陷(包括p53,p21,p27和c-Kit)
Pancriatis是最常见病之一狗排泄物囊 — — 也是一个重要的原因
发病和死亡
原Patnaik分级系统不包括MCT子切变异Newman使用扩散细胞核抗原和新分子技术,率先描述MCT子变异的病理学并识别临床结果狗类子变异多功能观察较少攻击性,中间语义级扩展平均生存时间-结果更好长期预测完全基于皮肤内部位置扩散标记,包括Ki67/PCNA/Agnor/c-Kit分数,过去曾发现这些分数有助于帮助剖析和评分相近MCT,与MCT子值分数有正相关关系。自那以来,进一步研究扩展到肿瘤群并识别增强诊断标准
Pancreatitis diagnosis in canines
纽曼研究兴趣还伸展到诊断各种动物的胰岛素疾病上,犬巢病难以诊断,原因是缺乏高度具体敏感测试,尽管在她生涯中已经实现这一点。Pancriatis是最常见的狗排尿孔病之一 — — 也是发病和死亡的重要原因之一。狗肠炎分类系统上次更新于1992年,内含封膜炎类型定义模糊慢性胰炎是一种慢性炎,会影响周围组织并可能永久损害导致纤维化(组织萎缩)的脉冲急性胰炎是一种急性炎,引起点细胞死亡和消化酶渗入周围腹部脂肪,并产生配方化(烟雾编组),这是一种特征历史变换后者通常还伴生腹痛
少数研究报告狗脉炎骨折,直到纽曼哨点工作评价大量狗与此条件相关联的炎症局部化、纤维化和死死Newman解析狗死后研究中这些前未探索因素,通过她的研究 疾病进程正得到更好的特征化 提高胰岛炎诊断精度
值得注意的是 纽曼显示狗肠炎 随机分布损耗因此,她建议多段封口评估死或发炎变化,包括死前和死后变化Newman强调需要功能分级系统描述肠炎特征以改善诊断和预测疾病,从验尸研究中可以看出单片切片是不够的。开发改良狗排气管炎诊断系统目前构成猫类类似研究基础
测试血清标记敏感度诊断犬膜炎 Newman评估了狗上千封泛组织样本各种诊断测试测试类似免疫性测试以及血清amylase和lipse水平测试,自这些开拓性研究以来,警犬泛嘴免疫测试被兽医更广泛地使用,因为在诊断犬内胰腺炎时敏感度和特性提高PCLI还可用于泛洲损耗生物标志并被纳入全球泛洲炎测量测试评估多警犬泛证样本后,血清参考范围计算出来,测试在线提供,作为警犬使用血液样本诊断的有用辅助工具
病理损伤随机分布于狗肺炎中,单生素诊断难反之,针头求美结果记录不足Newman发现非入侵式FNA泛采样生成高质量细胞样本,并允许分析诊断FNA避免对ancreas和/或开发更多复杂问题造成重大损害稳定CPLI水平反映了这一点此项技术改进狗肠炎诊断并预防更强健生物检验程序造成的复杂或相关伤害
Newman发现最常见的症状是呕吐、腹泻和食欲下降。她还确认慢性胰炎在老狗、非运动狗和非循环狗中比较常见,这些狗往往同时染上其他疾病,包括神经病或肝病。
突扰性疾病在其他动物
Newman还调查了包括猫马在内的其他兽性疾病Cycloxgenase-2(COX-II)是一种酶,负责生成prostaglandinE2COXII在许多人和警犬泛语反癌(一种癌症形式)中表现过度COX-II抑制剂对人体和狗有效泛性肾上腺素二表达法并非总能见诸猫表示的所有泛性肿瘤中,视之为泛性肾上腺素预告标值对Felines不那么有用。COX-II表达式不一致性表示,尽管评估案例少,COX-II抑制药作为猫巢癌的治疗选择潜力低 — — 意指需要探索其他治疗选择法
纽曼强调功能分级系统的必要性 改善诊断 预测犬巢病
马类突触病稀有,但诊断困难和成功治疗选择有限纽曼发现脉冲损伤和后续疾病常以共生形式出现,并经常与肝脏、肠胃和内分泌条件等其他共生性发生关联Equine全面性疾病还被发现与寄生虫和谷物超载相关联。然而,需要进一步研究ecriatitis乙语,以更好地了解它如何与共产性相关并如何引起死亡
其它研究兴趣
纽曼还揭示了狗中受有毒真菌污染的食物引起的afla中毒案例A.flavus.Newman发现, 2005-2006年爆发时, 狗接触由公共加工厂提供的特定地理位置受污染狗食使用肝代谢物、进料分析 和显微评估
纽曼公司还提供证据证明,母锅宠物猪有增生子宫损伤风险,类似于妇女机型,并发现增老与这些损伤发育相关联她还指出,罐装宠物猪随着年龄增长而增加生殖和胃肠问题风险,并经常发现恶性癌症,特别是肝脏和肠道癌。
纽曼花多年研究动物疾病 探索新技术和方式从她在描述各种MCTs和狗肠炎并改进诊断评分系统方面所做的大量工作可以看出这一点。Newman还开始将这些发现推广到其他动物,包括马猫,以更好地了解疾病过程德克萨斯A&M大学GI实验室一名研究生目前的工作正在继续这项研究纽曼大有助于我们理解这些疾病,并为目前诊断动物某些疾病技术提供更好的替代物
个人响应
狗癌和胰岛炎诊断发现如何帮助改善治疗?
很难说,因为作为一个病理学家,我只能为团队尽我的职责,希望提供精确诊断和同样多的其他预测性信息,让临床兽医为病人开发最创新的治疗方法。通过某些肿瘤免疫史化学识别分子目标,可使用面向这些扩散标志的处理延缓生长和/或减少肿瘤血管供应等CPLI目前常用犬膜炎对临床医学作出了重大贡献,通过血清参考范围确定,允许诊断犬膜炎,无疑导致许多狗早期干预和成功治疗
动物科学/医学/病理学
我相信教育者教兽医学15年并训练居民为下一代病理学家,此外,不害怕使用比较技能处理疾病和损伤模式允许差异构成分级制基础并增强伴生动物物种特征化并构成评估研究不足物种新条件基础都搭建基础 近百日志文章

