干细胞可以为肌营养不良提供希望
在医学的前沿,基因疗法给患有严重遗传疾病的患者带来了新的希望。基因疗法曾经仅限于科幻小说的领域,但它确实能改变许多患者的生活质量。然而,虽然这些新的治疗方法可以非常有效地减轻症状,但它们尚未提供治愈方法。研究人员继续寻找和探索治疗遗传性疾病的新方法。
肌营养不良药物是一组遗传疾病,导致肌肉随着时间的推移逐渐减弱。这是一些涉及必需肌肉蛋白的代码的一些基因中突变的结果。现在可以使用这些疾病的一些人用基因调节疗法治疗,临时恢复这些蛋白质的功能。不幸的是,这种治疗并不总是有效的,有时可以引发不必要的免疫反应。这不是一个治愈。
可悲的是,尽管近期治疗进展,但许多肌肉营造症仍然居利。为了提高这些条件的患者的预后,研究人员继续扩大生物医学科学的界限。
模拟神经肌肉疾病
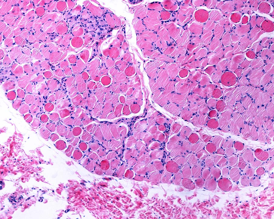
杜氏肌营养不良症(DMD)是一种基因突变引起的疾病,该基因会产生肌肉蛋白肌营养不良。肌萎缩蛋白在维持肌肉结构中起着至关重要的作用;对于患有DMD的人来说,肌萎缩蛋白的缺乏意味着肌肉的损伤会逐渐累积。
日本国家神经病学和精神病学中心的Yoshitsugu Aoki博士是DMD等神经肌肉疾病方面的专家。在最近的工作中,青木博士和他的同事们考虑了不同的方法来模拟像肌肉营养不良这样的疾病。传统上,许多这类研究是在老鼠身上进行的。然而,最理想的是使用人类细胞。
用动物,特别是小鼠,作为人类疾病的模型有许多优点;例如,操纵特定基因的能力。小鼠模型已经被很好地理解,并且毫无疑问地促进了医学的进步,否则是不可能的。然而,在基因和生理上,人类和老鼠是非常不同的。比较这两个物种的疾病和治疗方式是一项挑战。
研究人员已经确定了几种不同的干细胞类型,可以用于治疗肌肉营养不良症。
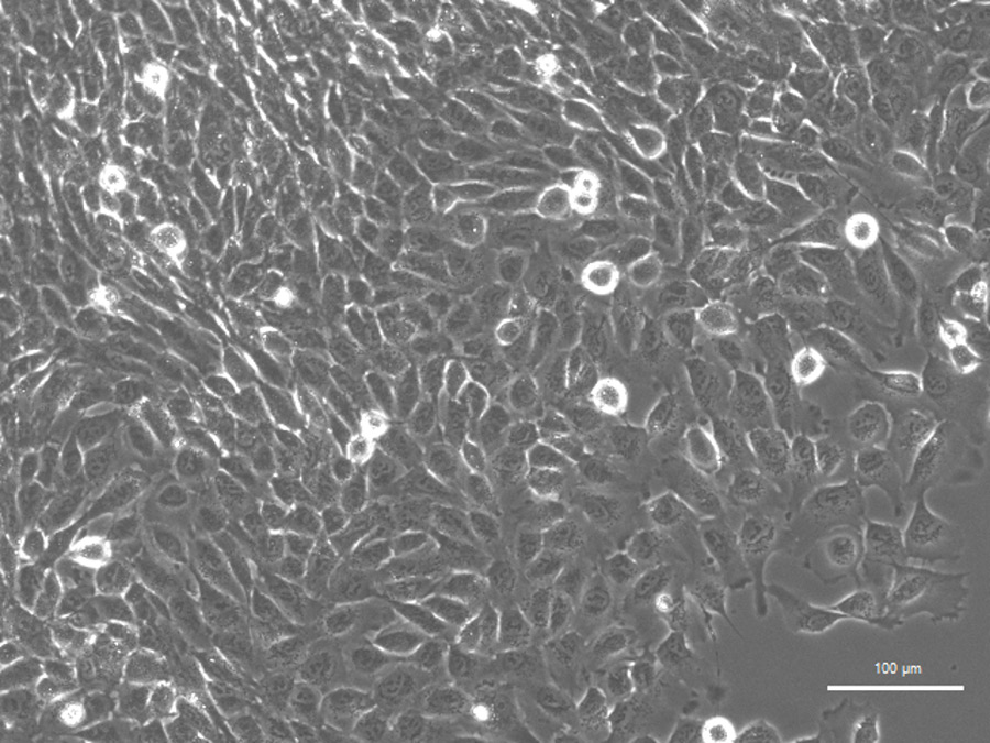
尿液衍生的细胞
解决这个问题的一个方法是用人类细胞来模拟疾病。青木博士和他的同事们最近考虑了有希望用于这一目的的细胞来源,包括尿液来源的细胞(UDCs)。不同于其他可能的来源,如皮肤、肌肉或血液样本,细胞可以从尿液中无创获取,而且对病人没有伤害的风险。它们也可以从同一病人身上重复采集(而且成本低廉)。
尿液衍生的细胞已经显示出巨大模拟许多不同疾病的潜力。在最近的工作中,Aoki博士和他的团队开发了一个新的非侵入性系统,以在UDCS中模拟DMD。使用的细胞源于肾脏和泌尿道,具有干细胞的性质;也就是说,它们能够开发成几种不同类型的细胞,具有不同的功能。
该团队以两种方式使用udc。首先,他们成功地鼓励udc发育成健康的肌管(肌纤维细胞)。这是通过操纵一种名为MYOD1的基因实现的,该基因在肌肉发育中起着至关重要的作用。在这项工作中,该团队使用MYOD1有效地重新编程UDCs成为肌管。患有DMD的人会产生肌管在体外(在身体外)通过这种方法可用于探讨每个人疾病的精确性。
其次,Aoki博士利用UDC探索一个令人兴奋的遗传技术,称为“外来跳跃”。在外显子跳跃中,在制造蛋白质时,提示细胞“跳过”基因的突变部分。这是通过构建一条短片核酸(使DNA的物质)结合突变来完成,这导致待跳过的部分遗传密码。结果是一种不带有故障组分的蛋白质,但仍然是功能性的。外来跳跃目前吸引了大量的研究兴趣作为DMD的潜在治疗,因为它可以让细胞产生功能性患者。
该团队成功地证明了具有不同突变类型的DMD患者的UDCs中的外显子跳跃。他们还发现,他们的UDC模型可以用来识别跳过基因突变部分的特定核酸序列。这样可以对每个DMD患者进行筛查,以发现他们携带的突变的确切性质(因为DMD可能由多个突变导致)。因此,可以开发一种个性化的外显子跳跃治疗。
虽然青木博士和他的同事们所描述的技术还需要进一步改进,但这项研究的结果是非常有前途的。未来重要的一步将是通过临床试验来检验外显子跳跃是否被证实在体外使用时是有效的在活的有机体内。
从建模到干细胞治疗
在另一项工作中,青木博士最近发表了一篇原创文章,并对肌肉萎缩症最新、最先进的治疗方法进行了综述。在这项研究中,青木博士和他的同事们特别关注DMD和一种潜在的革命性治疗方法:干细胞治疗。
通常情况下,骨骼肌(即附着在骨骼上的肌肉)在受伤后具有显著的自愈能力。肌肉干细胞,特别是一种被称为卫星细胞的细胞,在愈合过程中起着至关重要的作用。因此,研究人员将卫星细胞作为治疗肌肉萎缩症的潜在途径。利用老鼠进行的研究已经产生了有希望的结果,移植的卫星细胞可以恢复肌营养不良和更好的肌肉功能。对DMD患者的研究已经开始;然而,在这成为一种广泛使用的治疗方法之前,还需要做更多的工作。
与所有类型的移植一样,有可能被接受者拒绝供体干细胞。更好的解决方案是使用患者自己的细胞被收集并遗传修饰为“修复”错误的患者基因。然而,遗传修饰过程可以使干细胞变得更少有效。



越来越多的干细胞
另一个挑战是产生足够的干细胞以进行有效治疗。在一些肌肉营造(包括DMD)中,体内的大多数肌肉受到影响,这意味着治疗需要非常大量的改性干细胞。一旦收集,干细胞需要膨胀(即数量的成长)在体外在给病人使用之前。
当干细胞生长时在体外,它们产生新肌肉的能力就会减弱。研究人员发现,干细胞需要一个非常特殊的环境才能充分发挥它们的潜能在体外和在活的有机体内,即在肌肉中。了解环境如何影响肌肉干细胞,如果这种治疗和疾病建模的方法正在进行中,这是至关重要的。
新的遗传技术正在提供不同的方法来解决像DMD这样的疾病背后的基因突变问题。
支持干细胞
帮助肌肉干细胞的一种策略保持其有用的特性在体外就是在细胞表面涂上一种能模拟正常环境的物质。这种物质可以包含其他类型的肌肉细胞,或生物材料——人造物质,用以与生物系统相互作用。
另一种方法是实际创造人工肌肉在体外,利用卫星细胞和其他肌肉细胞结合细胞外基质。用这种方法产生的肌肉组织可以部分恢复受损肌肉的功能。和干细胞一样,它也可以作为研究疾病进展的有用模型。

这些方法在修复受损肌肉的巨大潜力潜力。然而,将这些技术应用于像DMD这样的条件的治疗,其中整个大肌肉受到影响,尚未成为现实。
肌营养不良研究与治疗的未来
干细胞是一种有价值的工具,可以两种方式进行肌营养不良研究:通过作为疾病的模型,并在其作用中作为该病症的直接治疗。最近的工作表明,干细胞移植可能不仅可以恢复患有肌营养不良的人的营养不良蛋白功能,而且还可以恢复细胞环境,有效地限制疾病的进一步进展。与此同时,新的遗传技术如外汗跳跃,提供了不同的方法来解决像DMD等疾病背后的基因突变问题。
最终,这些创新方法 - 疾病建模,在基因治疗和干细胞治疗中 - 寻求做一件事:改善与肌营养不良症等严重遗传条件生活的人的前景。艾奥基博士和其他研究人员采取的挑战,开发合并的干细胞移植医学和精密外显子跳过恢复组织结构和功能的方法,可能很快让这一目标成为现实。
个人反应
我们多久才能看到干细胞治疗成为常规?
目前,使用诺贝尔奖得主诱导多能干细胞(iPSC)或尿源性细胞(UDC)的干细胞治疗被认为是有前途的。例如,ipsc来源的视网膜细胞移植治疗老年性黄斑变性的临床试验正在日本和美国进行。iPSC和UDC可用于治疗肌肉骨骼、心血管和自身免疫性疾病、癌症和药物发现和开发。干细胞治疗被认为将改变医疗保健行业,到2029年,全球干细胞市场规模可能达到110亿美元。

