乳腺癌患者容量调制弧治疗中的屏气技术
的辐射。
乳腺癌是全世界妇女中最常见的癌症,每年影响200多万妇女,导致妇女中与癌症有关的死亡人数最多。手术、化疗、放疗及其联合治疗是最常见的治疗选择。
Undergoing a mastectomy can have a significant impact on a patient’s quality of life and body image, but immediate reconstruction of the breast for these patients is being used more frequently not only because of its oncological safety but also because of its superior cosmetic outcome, decreased surgical and psychosocial morbidity, and reduced cost. Reports show that immediate reconstruction with a 2-stage process in which a tissue expander is used prior to placing the permanent implant continues to be a popular option chosen by many patients.

虽然有些女性只需要手术干预,但有几项独立研究已经证明了放射治疗在接受乳房切除术的患者中的关键作用,不仅用于改善无疾病的存活,而且为了降低乳腺癌的死亡率,特别是当疾病先进时蔓延到附近的淋巴结。
乳房切除术后放射治疗
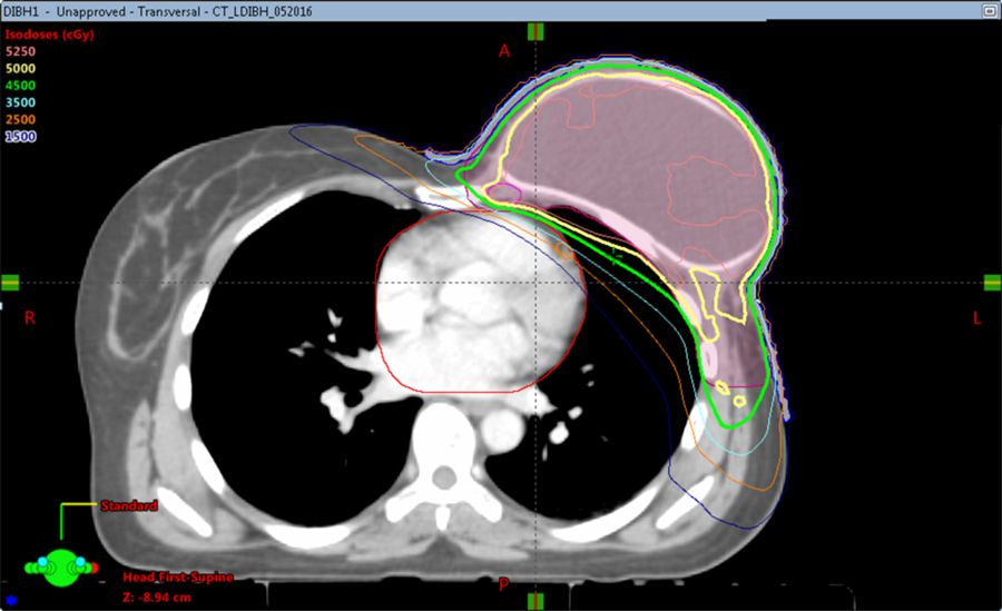
传统上,3D共形放射治疗技术用于治疗乳腺癌,其中处理梁成形以充分覆盖肿瘤,同时最小化暴露于邻近的关键器官,例如心脏和肺部的影响。然而,这种方法的缺点是,当存在显着的解剖学挑战时,难以在这两个目标之间实现足够的平衡(例如,组织膨胀器或永久乳房植入物)。在这种情况下,传统技术将心脏,肺,对侧乳房以及剩余的正常组织处于不必要的高剂量暴露的风险,这应该是最小化的。
另外,辐射围绕淋巴结的需要涉及患有癌细胞,增加了靶向辐射所需的处理区域的体积,提高治疗计划的复杂性。节点区域包括内部乳腺节点(IMN),腋窝节点和上丙曲线节点。该IMN由胸骨,沿锁骨组织的乳房组织的内侧部分形成一个链,沿锁骨到腋窝中,它们加入腋窝淋巴结。上丙啶淋巴结在套环骨上方,朝向颈部的空心。在组织膨胀器或永久植入物的存在下,在没有显着暴露临界器官和剩余的正常组织至高剂量的情况下,甚至更具挑战性甚至更具挑战性。
这是纽约山山上伊坎医学院的Vishruta Dumane博士潜在的辐射照射和损坏,正试图开发限制技术。通过利用更先进的治疗规划和输送技术,例如体积调制的电弧疗法(VMAT),Vishruta Dumane博士的作用表明,可以克服减少高剂量区对关键器官和周围正常组织的这些挑战。与传统的3D共形技术相比,使用有限的参数和机器角度进行交付,VMAT是一种提供辐射,因为机器在患者周围连续旋转时,这意味着辐射输送可以动态形状和控制,允许多程度的自由度覆盖肿瘤,同时最佳地捏造临界器官。与具有相似目标的技术相比,它还需要更少的监视器单元,例如强度调制的放射治疗(IMRT)。这有助于减少治疗患者所需的时间而不会损害递送的辐射剂量。
一种用来尽量减少器官暴露于不必要辐射的技术是深吸气屏息(DIBH)。
尽管VMAT在减少对重要器官和正常组织的高剂量照射方面具有优势,但也有一个警告,那就是增加了不必要的低剂量照射。这种情况的发生是由于机器的连续旋转,从而增加了对病人照射的机器角度。
屏住呼吸
一种用来尽量减少器官暴露于不必要辐射的技术是深吸气屏息(DIBH)。DIBH是一种与传统3D适形放疗相结合的治疗乳腺癌的技术。在这种技术中,患者深呼吸,增加胸壁和心脏之间的距离,扩大肺容量,以及增加治疗区域和其他正常组织之间的距离。由于病人会屏住呼吸,这也有助于他们在放射过程中保持静止。
杜曼和同事博士最近发表了一项研究调查DIBH在使用VMAT时减少低剂量暴露于降低临界器官的临界器官,以及使用VMAT的其余部分。在该研究中重点的患者经历了含有组织膨胀器或永久性植入物的乳房切除术,并在传统的3D全成形技术中提供解剖学复合物的治疗解剖学复合物。因此,VMAT是这些患者的首选,因为3D技术将在高剂量辐射暴露的显着风险下将其关键的器官置于其临界器官。
在研究中,预先确定了左侧乳腺癌这样的患者进行了研究。为了量化使用VMAT的DIBH减少低剂量暴露,计算患者的辐射剂量,并比较两种不同模式,即自由或常规呼吸和DIBH获得的CT扫描。在Dibh期间,妇女被要求在20秒内深呼吸约20秒,在他们的模拟和治疗之前在家练习这一点,以提高他们呼吸呼吸并最大化肺部的能力的能力和信心并持有大呼吸。
使用VMAT和DIBH的组合将辐射减少到心脏和肺部分别30%和11%,并将对侧乳腺/植入物分18%。
有趣的是,用于提供放射疗法的处理机器可以被配置为从放置在患者身上的特殊传感器的反馈,如果患者没有足够呼吸,可以帮助将关键器官分离来自治疗区域的临界器官。这将自动终止辐射束,仅当患者能够按预期充分呼吸时关闭。这种布置设法避免临界器官并避免过度剂量对正常组织。
深呼吸可以减少辐射暴露
Dumane博士的研究的主要发现是VMAT期间的Dibh确实减少了心脏,肺和对侧乳房或植入物暴露于低剂量辐射的植入量,同时还降低了暴露于心脏的平均辐射。鉴于辐射剂量之间存在显着的联系,心脏在患者后面暴露于生命后的心脏事件,这对乳腺癌接受放射治疗的患者具有重要意义。
除了降低心脏暴露之外,Dibh还降低了对肺部的辐射水平,降低了它们内部辐射诱导的炎症的风险。
最后,该团队还能够表明Dibh降低了暴露于辐射的对侧乳房的量,降低了对对侧乳房的未来发病率的风险。
Although DIBH as a technique is not novel and has already been implemented across many treatment centres, Dr Dumane’s research shows its application in patients receiving VMAT for complex anatomies due to the presence of tissue expanders or permanent implants requiring regional nodal irradiation, furthering knowledge and understanding to the ways in which patients with breast cancer undergo treatment. DIBH when utilised with VMAT has a significant dosimetric impact with respect to reducing low dose which is of immense overall benefit – especially since the consequences concerning low dose exposure in this cohort of patients is relatively understudied and unknown.
Dumane博士总结道,由于复杂的解剖结构,当需要植入物重建也需要局部淋巴结放疗的乳腺癌患者接受VMAT治疗时,应该考虑DIBH。VMAT和DIBH联合使用,对心脏和肺的辐射分别减少了30%和11%,对侧乳房/植入物的辐射减少了18%。这表明使用呼吸是有益的,应该考虑到治疗计划为这个病人组,特别是限于没有风险,和治疗中心与机器配置为使用这项技术应该不需要更多的专门培训或资源。

个人反应
其他技术可用于限制周围组织和器官的暴露于高剂量的辐射吗?

