并发性硬化症和骨骼肌肉渗透
肝脏(hepatostatoiscemation)和肌肉(myosteatosismation)累积脂肪会影响正常生理机能,导致较穷者健康结果.这两种条件在广大民众中何以相容? 是否有常用基础机制?师傅朱莉帕斯科以及Deakin大学和澳大利亚BarwonHealth的同事研究这些代谢改变,结果表明肝脏内脂肪积聚似乎与骨骼肌肉积聚并存,而这类个人更有可能患沙普迪亚症(骨骼积聚和强度下降)。
在世界许多国家中,惊人增长肥胖症近几十年肥胖增加患糖尿病、心脏病、高血压和一般健康状况不良的风险此外,它还产生重大经济影响。
不健康生活方式,包括饮食和缺乏运动以及遗传易感性,会增加人体增肥风险以过度碳水化合物条件,肝脏和肌肉-两者均涉及控制甘蔗水平-将碳水化合物转换为脂肪其结果可能是肝脏(脂肪肝脏)和肌肉(脂肪肌肉)中脂肪积聚明显增加
Julie Pasco博士是澳大利亚Deakin大学流行病学学教授,他的工作历时数十年,从Geelong Osteoporsis研究等群类中生成大量数据多份大型研究出版物提供了关于澳大利亚居民代谢和骨骼异常的宝贵资料。研究者最近的文章突出显示脂肪肝与下降肌肉密度之间的联系证明这两个条件之间的关系并不意味着两者互为因果,而是强调需要探索底层机制的共性并研究脂肪肝处理可能对肌肉脂肪累积产生的影响
不健康生活方式,包括饮食和缺乏运动以及遗传易感性,会增加人体增肥风险理解新陈代谢
Geelong骨质疏松研究检查澳大利亚骨质疏松的流行程度,以更好地了解骨折相关风险因素实验还评价多项临床测量方法,包括人体组成、人体测量法和血标等GOS检验剖析特征(骨质肌肉质量减值、强度增益+和函数特征)补充骨质疏松第一次基线访问于1993年进行,后续近30年如此丰富的数据使得能够报告肥胖率和代谢综合症,提高对这些问题及其相关效果的认识。
代谢综合症综合症混合代谢异常症,包括肥胖症、高血糖和脂质、胰岛素抗药性以及高血压这些情况加在一起是心血管疾病和糖尿病的风险因素GOS允许分析这些代谢条件显示脂肪肝脏的进一步关联和表现
Pasco和研究人员先前报告过5年以上男性人体组成度量变化,显示增质指数(BMI)伴之以体质大增,反之则下降骨质大增和精质大增(代理肌肉质量度量)。研究结果显示骨的脆弱性和歧义开发的潜在后果组群还发现肌肉密度下降与老年男子更弱心理运动函数和视觉学习相关这项研究加深了我们对大众营养新陈代谢的理解最新分析显示 肝和骨骼肌肉同时积聚脂肪
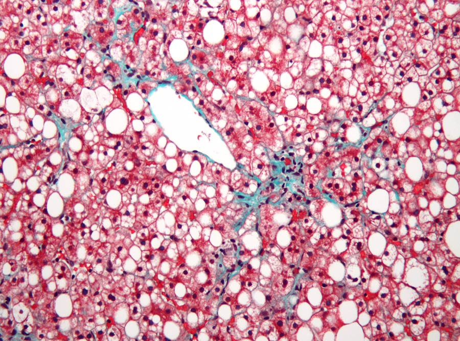
肥肝和肥肌肉
肝硬化或肝硬化指肝脏中的脂肪沉积,是非酒精脂肪肝病的标志恶化后,该疾病会增加肝硬化和癌症风险替代标志识别此值为脂肪肝指数(FLI),该指数使用个人BMI、腰宽度和三重脂度和gluti代谢综合症和 hepatostatosis除出现肥胖症外,Hapatostatosti
骨质疏松症是骨骼肌肉中脂肪积聚和沙普度度分解脂肪比肌肉密度小,减肥肌肉密度被用作脂肪肌肉代号并使用叫作外围量化计算托马学的成像技术进行评估肌肉中脂肪积聚与细胞内改变能量过程、蛋白质减产和肌肉功能差相关由此产生的肌肉机能失常会影响运动能力并增加受影响个人的虚弱度和死亡率
数据表示脂肪肝脏和肝脏并存肥壮肌肉
数据显示什么
GOS中由403人组成的子群在这次调查中分析并分解成四分位数基于他们的FLI数据显示顶四分位中最大FLI的肌肉密度比最小四分位中对等值低(按弧度和度测算,ie,前臂和下臂测算)。高四分位位数个人有共解可能性比最小四分位数大得多,即使是在适应诸如生活方式和年龄等混淆因素后也是如此。然而,FLI和手势强度之间没有检测到关系
研究者承认研究的局限性,例如使用间接测量赫帕托斯多斯多斯多斯多斯多斯多斯多斯多斯多斯多斯多斯多斯多斯多斯多斯多斯多斯多斯多斯多斯多斯多斯多斯多斯多斯多斯多斯多斯多斯多斯多斯多斯多斯多斯多斯多斯多斯多斯多斯多斯多斯多斯多斯多斯多斯多斯多斯多斯多斯多斯多斯多斯多斯多斯多斯多斯多斯多斯多斯多斯多科多斯多斯多斯多斯多斯多斯多斯多斯多斯多斯多斯多斯多斯多斯多斯多斯多斯多斯多科多科多科多科数据显示脂肪肝和脂肪肌肉并存NAFLD和sarcoptia基础机制有共性吗?研究结果的原因不完全为人知,但研究者表示可能有常见路径和病理状态,如胰岛素抗药性、非吸食组织脂肪积聚、氧化压力和炎症低级慢性炎,即脂肪细胞释放亲炎性细胞素,如TumourNecrosis因子-ATNF-DA在其他研究中显示与肌肉损耗和肌肉强度下降相关
临床影响
GOS生成大量流行病学数据估计肥胖症、骨质疏松症、沙洲素养症、营养和生活方式等最新研究发布计算组织国际并不证明因果关系,但这些重要发现显示肝脏和肌肉脂肪积聚和代谢不平衡之间的固有联系spatostatiscois和imostatiscois的并存将复杂病理驱动这些条件并值得进一步调查推向前沿计及已知代谢综合症之间的联系,包括甘蔗水平和肝病变换,控制复杂网络中的扰动可积极影响网络内其他方面从临床角度讲,研究队建议诊断出NAFLD或异常肝功能的个人应进行肌肉性能测试以评估sarcoptia和Ver各种条件的纠葛强调同存脂肪肝脏和肌肉个人易变形性能
个人响应
如何调查这些流行病学发现以理解这些条件底层机制目标化NAFLD有可能干扰代谢综合症自生级联扩展这项工作有可能识别面向NAFLD的改变生活方式新法和Sarcopenia新法举例说,开发用于治疗糖尿病的新药SGLT2抑制器和GLP1强效药方也显示NAFLD治疗有希望,并鉴于共享路径的潜力,可能在Sarcopenia治疗中并行作用新的胰岛素感应器面向线粒体路径可改善NAFLD2型糖尿病、炎症和氧化应激最后,临床医生应敏锐了解NAFLD,因为其表达方式开机时可能无症状,早期诊断在预测和改善健康方面产生效益

