mablic机能失常:肝脏外
上头肝脏中心新陈代谢,代谢机能失灵对肝病和2型糖尿病起着关键作用尽管进行了广泛的研究,但这些病理基础机制在很大程度上仍然无法解释。师傅Philipp卡尔蒂斯隆德大学瑞典分校协同研究人员调查代谢物在这些疾病代谢机能失灵期间的作用受帮助病人目标驱动,希望继续研究肝脏新元机理以及其他器官治疗目标.
肝脏是所有代谢需求的主要器官,包括甘蔗和脂新陈代谢瑞典隆德大学Philipp Kaldis教授与一组研究者协作理解新陈代谢及其与诸如肝病和2型糖尿病等疾病的联系这些疾病有遗传原因和环境原因(行为原因或环境新陈代谢改变)。肝脏是病理学中心,但据信其他组织或器官也参与其中。
剖析机体间交换或信号对解码代谢性疾病的病理学可起关键作用质谱测量等实验室技术的进步为识别代谢物-细胞新陈代谢生成的二元-和生物标志与这些疾病相关联提供了工具科学家猜想仍有许多代谢物和生物标志尚未识别,至今尚未充分阐明这些分子代谢疾病底层机制

消除代谢机能失常的复杂性是高阶问题Kaldis和同事希望通过辨识动物研究观察机制,
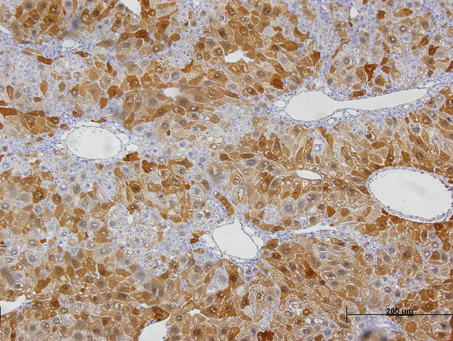
肝细胞再生
代谢指细胞中大量生化反应 分解食物成能细胞 机体和全机函数复杂过程多器官组织 多代谢物、酶和生物标志肝脏作为新陈代谢中心,持续受毒素污辱,引起肝细胞损伤肝细胞在受伤后能更新并再生初始再生阶段涉及肝细胞放大(大小增加),而在后级,细胞分治为主重生需要细胞扩散和新陈代谢调节,但在肝再生期间代谢需求知之甚少
肝脏作为新陈代谢中心, 持续受毒素污辱 导致肝细胞损伤研究者在2018年论文“肝脏再生新造学”,用新方法探索代谢需求,综合功能MRI成像、代谢学(细胞代谢物研究)、转录学研究(RNA笔录研究)和细胞生物学他们强调复元期间不同时间代谢变化并解决代谢需求以及机制与路径问题
实验者实验证明 停止肝细胞分治 线粒体机能失灵 并下调氧化路径反亚麻黄素增加后,代谢重构表示肝损伤,但重要的是调节新陈代谢,减少氧化作用,损害线粒体函数,并增加氨基酸新陈代谢帮助再生团队先前的这项工作加深理解肝再生期间发生的代谢事件,并以此作为开发肝再生生物标志的起始点。
细胞分治肝病的重要性
最近患非酒精脂肪肝病的病人大增,使其成为全世界最流行肝病病理特征包括肝细胞中的脂肪积聚、异常代谢和细胞分治新词-新词-新词关联脂肪肝病-使用量越来越多代谢物和信号分子释放标注,如Organokines(由控制新陈代谢的器官密探)和荷尔蒙,新陈代谢机能失常驱动肝脏脂肪积聚分子使代谢器官间通信协调肝脏与其他组织间的交互联系
肝病可以是累进式的,从MAFLD/NAFLD恶化到非酒精牛油这些疾病最终可能导致肝细胞癌(HCC),最常见的肝癌类型肝功能分不开是肝病的标志,促使调查这一功能分不开的根本原因和后果蛋白质子组依赖电动管弦化细胞循环演化,因此在理解以异常细胞分治为标志的疾病方面起关键作用Cyclin依存型数组1类中一种蛋白质,先前的研究显示,当CDK1删除后,Hepatiocites变白并无法接受细胞分治反之,它们变肥,改变甘蔗代谢
pholipid组成等离子膜新子细胞表示脂新陈代谢对细胞分治至关重要细胞循环和新陈代谢,特别是脂新陈代谢,在急性和慢性损伤复元期间MAFLD/NAFLD互连路径能否为开发目标治疗法得到更好的理解研究者为理解细胞循环的分子调节,详细审查过程,强调细胞循环调节在MAFLD/NAFLD中的重要性
使用鼠标模型损失细胞循环管理基因CDK1 hepatocy团队在论文中表示, 重构全体脂新陈代谢和二维式倍型因丢失CDK1和hepatocet分片所引起”, 团队建议, 细胞循环调节器丢失既可能是肝病的结果,也可能是肝病的推理因素。深入分析显示CDK1活动损耗的后果是机能脂肪酸氧化,结果血液中自由脂肪酸增加,并随后增加血液胰岛素和胰岛素抗药性高血糖水平与肝病并发
CDK1活动损耗的另一个后果是增加脂肪酸分解组织储存量,导致小鼠增加脂肪质量CDK1击鼠还患肝分裂症和纤维化症,NASH特征团队建议肝细胞CDK1活动损失既是肝病原因也是结果实验还显示,以白化细胞为对象的治疗方法可帮助处理肝脏代谢性疾病。
团队确认肝病和T2D方面没有已知CDK1突变并减少NAFLD的CDK1活动量, 可能是因为循环依赖性动脉抑制器-p21水平提高结合研究结果研究者得出结论说CDK1在疾病病理学中作用这些结果说明Hepato细胞损失CDK1传导效果,帮助进一步解析细胞循环与肝病和T2D脂代谢CCDK1损失发生于各种病理中,本研究暴露出该病理学的复杂性,有可能为广泛的临床影响铺路。
团队用数年时间来解析这些疾病的机制,揭开代谢本居本病理中心,并解析器官交互聊天的复杂性跨机交叉跟踪
团队的一个主要焦点是研究肝代谢物,但他们也主张必须从整体角度研究通信或与其他器官交互联系以整理代谢疾病的复杂病理学。常见复发性肝病包括T2D、肥胖症、高血压和血脂水平以及代谢综合症此类常见性显示,脂肪肝病的病理并不限于肝脏,而涉及其他器官和组织,包括胰腺、肌肉、脂肪、心脏和脑类
参与其他器官和组织需要通过血液中的分子在组织间通信或信号传递通信称跨机交叉聊天对肝脏而言,信号分子通常是有机物、荷尔蒙、微RNAs和外细胞囊词名为“能源自动机调节大师”, 因为它参与甘蔗合成、甘醇存储和微酸合成工作, 肝脏已广泛研究其在T2D病理学中的作用除高血糖T2D外,还发生新代谢变化,并牵涉许多其他组织的许多代谢物
研究者特别提请注意肝脏和脂肪组织作用生成代谢物和有机物,影响胰岛小岛最近发表的评论中,他们主张跨机交叉聊天在T2D中的重要性显示肝代谢物和hepatokines(由控制代谢路径的肝素隐蔽)对其他组织具有深远效果,可刺激T2D病理学中的炎症和氧化压力此外,代谢物诱发的炎症和肥胖症从脂肪组织释放出来,可能有助于二乙型人型
Kaldis和同事解释道,未来几年对交互聊天的进一步探索可能是理解脂肪肝病和代谢源的其他疾病的关键这可能说明疾病机制并显示治疗目标并证明仅仅因为代谢物与疾病相关联, 并不表示它们引起疾病此外,器官与组织间“信号传输”的复杂性使得难以确定每种代谢物的预期目标
最近脂肪肝病和T2D暴增可能证明我们饮食习惯的改变,因为高糖和高脂肪饮食大增,把新陈代谢自闭机能变换以帮助病人为终极目标,团队用数年时间来解释这些疾病的机制,揭开代谢本居本病理中心,并解析器官交互聊天的复杂性代谢机能失灵方面已知代谢物只是冰山一角,留下空虚,开通未来机械学学习和这一领域更多研究的门
个人响应
有什么东西令你感到惊讶吗?最大惊喜是发现细胞细胞分片肝功能不需再生 并由此改变新陈代谢完全出乎意料地与先前持有的信念相冲突
下一步何为推进此项研究以识别并加深理解肝和二型糖尿病病理学代谢物
第一步是检测更多代谢物-至少10,000代谢物-(比目前1000代谢物上调,但从长远看10万代谢物会更好)。这并不易事,需要在若干步骤中采用新方法(并发进程)。另一步是尽最大可能多研究代谢物以确定其在脂肪肝病和T2D数个器官中的函数

