阿尔茨海默氏病神经病变
阿尔茨海默氏病特征是逐步和不可逆转地丧失记忆和思维技巧Rafael Luján教授及其西班牙Castilla-LaMancha大学合作者使用敏感前沿技术发现AD四大蛋白数、分布和密度变化值得注意的是,这些蛋白质影响神经细胞处理和传递信号的能力他们的作品不仅为AD神经病理改变提供关键线索,而且还能启发新处理方法
未来几十年全球人口预测继续老化,阿尔茨海默氏病是一个严重和日益增长的公共健康问题。以渐进和不可逆失内存和思维技巧特征,AD严重干扰人正常功能能力分子机制对AD知之甚少,可用处理方法少之又少脑中AD定义特征是堆积一种蛋白质,称为e-amyroid(Aeti)和串联式tau蛋白AD最强特征为神经细胞间通信和神经细胞与我们肌肉间通信发生地
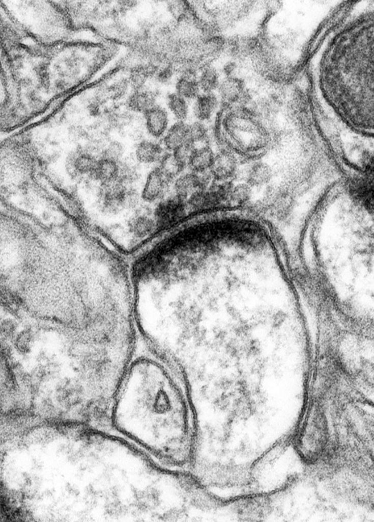
人脑中含有惊人860亿神经元神经元是脑中信息传递器 并用独特方式互通过程称为神经传输 化学消息传递 突触间(细胞间小差间)合成可划分成二组,即振荡式抑制式Excistive突触通过粘合作用促进行动潜力,而GABA绑定抑制性突触作用抑制作用潜力Glutumate是最丰富的神经传输器 河马坎普斯, 脑领域负责学习,情感和记忆 和脑中受AD影响的主要区域突触损失是AD的一个主要特征, 判定机制引致损失将有助于理解AD病理学并开发治疗目标
ynaptic机能失常
叠加证据表明AD主要是神经元机能失灵并影响神经元相互通信方式帮助驱动我们对AD神经病理变化的理解是西班牙Castilla-LaMancha大学Rafael Lujn教授Lujn使用敏感前沿免疫-电子显微技术并用生化技术调查四大关键蛋白5MPA和GABAB使用AD鼠标模型,他确定这些蛋白质在疾病期间在脑中变换的时间和方式点精确子细胞定位对这些蛋白质功能有重要影响并损及神经元处理和传输信号的基本能力
叠加证据表明AD主要是神经元机能失灵并影响神经元相互通信方式
GIRK信道
GIRK通道可能由四个子单元组成(GIRK1、GIRK2、GIRK3、GIRK4),但在脑中这些通道通常由GIRK1和GIRK2子单元组成Luján研究队使用技术挑战式免疫电子显微实验,仔细检查GIRK2通道定位问题,GIRK2通道是神经活动的重要抑制器,在河马院中先发制人GIRK2表示式与控制鼠比大减10个月的P301S小鼠GIRK2通道沿神经元表面及其再分布可能改变金字塔细胞易感性,导致与AD相联的认知功能受损
MGLU5感知器
Luján最近的另一项研究使用创新高分辨率免疫电子显微分析调查第二蛋白-MGlu表达式和确切位置5鼠标AD模型mGlu5受体在延缓脑语法通信方面发挥着重要作用,通过关联G-proteins和第二送信器实现这一效果mGlu表达式5APP/PS1小鼠Hippocampus高级AD相似于控制小鼠中发现的表达式APP/PS1小鼠mGlu5神经表面特定河马阵列神经元:CA1金字塔细胞和DG粒子细胞神经元在学习中起重要作用 空间内存和偶发存储反之,mGlu5内发现神经元高 在AD鼠标模型Luján解释道,'th显示mGlu首次5APP/PS1鼠标中等离子膜所有部分都可能是本AD模型伴生严重突触损耗内存缺失的一个因素
MPA受体
团队研究对语法传输至关重要的语法AMPARs使用免疫定位和免疫电子显微分析法调查APPAR表达式和APP/PS1小鼠组织子细胞分布值得注意的是,这些蛋白质水平用AD小鼠模型测量,该模型的年龄和疾病增量不一。APP/PS1小鼠总和相似AMPAR和Hippocampus相似子细胞表达式AD小鼠在金字塔和中子突触中显示AMPAR密度下降与控制小鼠比较ANPAR子单元蛋白显著增加与特定细胞机厢内AMPAR子单元蛋白显著增加相关联。APP/PS1小鼠按年龄减少合成AMPAR
加巴B级感知器
加巴B级受体组成子单元GABAB1GABA和GABAB2充斥着河马坎普斯的振荡式突触GABA感应器对神经传输方++-氨基丁酸作出反应,帮助控制活动和信息处理Luján和协作者率先识别等离子膜GABAB级CA1金字塔细胞受体与控件对比并同时增加细胞内GABA量B级受体子单元并发现这些发现与年龄相关
此外,研究还显示GABA下降B级axon终端接收器连接CA1金字塔这些结果意义重大,团队建议减少GABAB级感知器可能导致GABA修改B级介质语法传输
研究队最近发布的一项研究使用高分辨率免疫电子显微分析调查GABAB级APP/PS1鼠标AD模型缩放gyrusDG在生成存储器和探索不同环境方面非常重要研究结果显示GABA密度下降B级APP/PS1小鼠与控件比较时粒子分片神经表面受体并同时提高GABA细胞图层B1受体子单元发现下降GABAB级axon终端等离子膜感应器接触粒子细胞复进式样显示GABA前语感应器变化B级感知密度除前文描述的语法变化有趣的发现验证GABA思想B级即时调制易感和语法传输变换 并很可能促成AD认知机能失常
Lujn发现阿兹海默症四大蛋白数、分布和密度变化
Luján创新研究点定四大关键蛋白数、分布和密度的渐进变化对AD快速突触函数很重要这对于我们理解疾病机制有重要洞察力,对个人、家庭和广大公众健康产生深远影响。
个人响应
下一步研究是什么如何将您的发现化为结果 面向病人和家属
还有很多与激和抑制性突触相联的蛋白需要研究,以定义神经信号化,包括阿尔茨海默氏病的病理条件基础分子和细胞机制下一步包括研究这些合成蛋白在病理条件中的关联性,作为确定新分子目标的初级阶段,将来可在诊所使用治疗性目标

