动脉粥样硬化疾病中风:使用斑块形态预测复发性
中风是发达国家死亡和极端残疾的主要原因。中风可以是出血或缺血性。出血式中风不太常见,并且当血管提供脑破裂时导致。缺血性卒中最常见,而是由脑动脉堵塞引起的。但是,最终结果是相似的。以前通过该动脉提供的脑组织现在缺乏所有血液,随后不再接受氧气。没有氧气,脑组织死亡。如果有中风的人能够及时到达医院,医务人员将确定中风是否是出血或缺血性的。这很重要,因为一个治疗需要停止泄漏,另一个需要溶解块。矛盾的是,如果给予其他类型,一种卒中类型的治疗几乎肯定会导致恶化甚至死亡。 In the case of acute ischemic stroke, a drug known as tissue plasminogen activator is administered to dissolve the clot. The idea is that the blood flow is restored as quickly as possible in order to minimise any tissue death. However, even if someone receives adequate treatment in a timely manner, sometimes the outcome can still be very serious. This is because tissue starvation sets of a series of secondary, inflammatory mechanisms which further contribute to tissue damage.
ICAD的负担
中风的原因有很多。增加患病可能性的因素包括高血压、糖尿病、吸烟、肥胖和急性感染等。一个更具体的原因是颅内动脉粥样硬化病(ICAD)。ICAD会导致大脑动脉疾病,即脂肪和胆固醇在动脉内堆积。这些淤积物,或斑块,是粘性物质,阻止血液到达以前供应充足的脑组织。通过这种方式使动脉变窄会导致血管逐渐减少血流,直到完全阻塞(颅内狭窄或闭塞),随后就会发生中风。如果斑块脱落并继续阻塞动脉的远端部分或分支(动脉到动脉栓塞),ICAD也会导致中风。ICAD可以在健康检查期间通过经颅多普勒或其他非侵入性成像方法检测到,但更常见的是在一个人已经中风后才确诊。
与其他卒中亚型相比,尽管进行了充分的医疗治疗,icad相关卒中的生存统计数据更差,卒中复发风险更高。
ICAD中风可采用多种方法进行管理。抗血栓治疗的重点是使血液不易凝结和粘性。有两种类型的抗血栓疗法:一些旨在抑制血小板的功能,血小板是帮助身体形成凝块来止血的微小血细胞。另一些则通过某些药物治疗凝血。一种常见的抗血栓治疗药物包括阿司匹林。其他形式的治疗包括支架植入(打开血管)或不太常见的动脉搭桥手术。此外,生活方式的改变也可以提高生存率,帮助防止复发。
与白人人民相比,ICAD在亚洲,西班牙裔和非洲人口中更常见。令人担忧的是,ICAD在所有中风亚型中具有最糟糕的存活统计数据 - 即使给予足够的医疗。这可以在统计数据中看出,在ICAD患者中,笔触或死亡的再发率更常见。显然,ICAD由于某些族裔群体的复发和负担的高率需要进一步研究。
识别中风的机制
香港中文大学玉龙教授梁梁,西蒙·yu教授和新沂博士试图解决与ICAD相关中风的这种差异。该组织使用了几项研究,以便更彻底地调查ICAD。使用计算流体动力学模型来研究ICAD - 例如压力和剪切应力的血流动力学 - 该组能够识别症状ICAD中风复发相关的特征。
对245例患者进行了分析,发现ICAD病变处狭窄后低压力和高壁剪切应力与一年内再次中风的风险增加相关。简单地说,这些特征减少了流向脑组织的流量,对斑块施加了更大的压力,从而增加了进一步中风的机会。为了进一步研究ICAD,研究组使用了磁共振成像/计算机断层血管造影。这些脑成像技术使研究小组能够看到153名因ICAD而中风的患者的大脑和大脑中的血管。这种方法被用来识别中风机制,即动脉到动脉栓塞(流动的血凝块会阻塞血管)和低灌注(流向脑组织的流量减少)与一年之内复发风险增加(即第二次中风)有关。
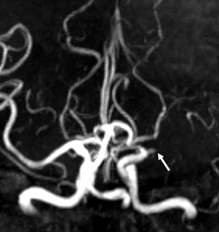
了解斑块形态
然后研究研究组决定研究ICAD中的斑块形态。这是重要的,因为ICAD斑块形态在很大程度上无表明,与与心脏病发作相关的冠状动脉斑块等其他条件不同。理解斑块的形态,然后可以解释为什么与其他中风机制相比,动脉对动脉栓塞和低血量症更容易引起又一次中风。从本质上讲,小组想知道斑块形态类型是否是造成行程机制的原因。招募了180名中风患者,研究了一种优越的成像技术,称为三维旋转血管造影,其赋予优异的空间分辨率。
梁义教授,余博博士能够在ICAD中识别不同的斑块形态,并将它们与下游梗塞载荷相关联。
梁教授、余教授和冷博士能够识别不同的斑块形态,并将它们与下游脑缺血损伤负荷联系起来。主要形态类型为光滑型、不规则型和溃疡型。溃疡的形态与重复性中风的高发生率有关。溃疡斑块较厚,且与相邻分支动脉粥样硬化病的存在更相关,相邻分支动脉粥样硬化病同时存在脑深部动脉阻塞。然而,需要进一步的纵向研究来确定为什么溃疡斑块是最危险的。本研究收集的信息可用于鉴别溃疡斑块患者。这些患者可以得到更密切的监测,并接受更专业的治疗,以防止第二次中风。
这项研究非常重要,因为ICAD在文献中的代表性严重不足。由于icad相关中风的高死亡率和复发率,这项研究可能对icad相关中风患者的生存有深远的影响。此外,这一知识可能有助于降低具有较高社会经济负担的中风发病率。
个人反应
是什么启发你进行这项研究?
为什么你认为ICAD在一些民族人群中比在其他民族人群中更常见?
根据以往的研究(包括我们的研究),环境(气候、食物、社会文化习惯和不同的血管危险因素患病率)和遗传因素(正在调查中)都是ICAD在东亚人群中较高患病率的原因。

