在实验室中生长人角蛋白细胞的细胞培养方案
人体皮肤为我们提供保护,并从外部环境接收感官进口,例如温度变化和紫外线照射。最外层,表皮,主要是负责提供对潜在危险的微生物的保护。大约90%的皮肤层中的细胞是人表皮角质细胞(Heks)。这些细胞产生称为角蛋白的蛋白质,这在很大程度上对皮肤的屏障功能负责。它们与产生黑色素(皮肤中的颜料)的细胞相互作用,并且能够将黑色素储存用作免受UV辐射的保护。Heks是一种称为上皮细胞的细胞;这是一个术语广泛用于描述在身体表面的细胞,包括皮肤,血管和泌尿道。
当在适当的基材上生长并提供液体/空气接口时,HEKS可以作为更具生理的3D组织模型体外学习。不幸的是,这个过程通常可以效率低下和费力。由于这一点,多年来已经试验了许多接近这些细胞的修饰。
日本中尼斯研究所的高级研究科学家Hitomi Fujisaki博士对在实验室中的不同培养基质条件下种植时对细胞的行为感兴趣。细胞培养是可以在实验室中生长细胞的过程,远离其天然环境。但是,为了成功地生长细胞,必须保持在精心控制的条件下。这通常由合适的容器组成,例如瓶子或培养皿,用衬底或培养基供应细胞所需的所有必需营养素。一些细胞能够在液体悬浮液中生长,而其他细胞需要固体表面以生长。通过改变细胞培养环境,可以诱导细胞生长,较慢,分化成其他细胞类型,甚至产生感兴趣的分子,如抗生素。
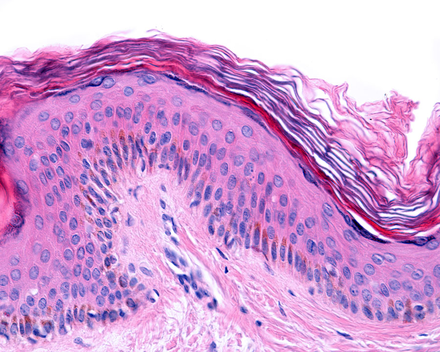
根据培养条件,HEAKS生长,分化和形成复杂的细胞层,称为分层鳞状上皮。影响细胞行为的因素之一是细胞培养基和培养基材的钙浓度的组合。HEKS在低钙水平上稳步增长,但是当钙浓度增加时,细胞增殖停止,在2D底物上诱导分化。在3D底物上,增殖和分化的控制更复杂。
人类皮肤外层约90%的细胞是表皮角化细胞(HEKs)。
富士崎博士和同事们对不同类型的基材上的Heks感兴趣。I型胶原(Col-i)是结缔组织的必要组分,例如结缔组织。真皮和骨头。它形成原纤维;原纤维的不同布置提供了不同的结构,形状和强度。胶原蛋白原纤维可以作为细胞的支架,也与其他蛋白质相互作用以形成培养系统中其他细胞类型的支持。在活体中,HEKS不会直接坚持Col-I。一个名为'地下室膜'的结构连接Heks和Col-i原纤维。在培养系统中,HEKS根据培养条件在Col-I原纤维上产生基底膜组分。
在酸性条件下,Col-I保留在非原纤维形式中,这意味着胶原蛋白分子不会组装在一起,并且它不会形成固体凝胶结构。另一方面,在正常生理条件下,Col-I分子形成原纤维;原纤维组装成束纤维,并自发地将自己设置为固体3D凝胶结构。通常,Col-i的非纤维形式促进细胞粘附和增殖,但通常选择凝胶培养物,因为它可用于探索生理细胞行为,例如对某种药物的反应。
钙浓度的重要性
钙浓度是细胞培养系统的一个重要方面,因为钙水平的变化可以触发细胞生长、生存和分化的信号。研究人员意识到,不同形式的Col-I也会引发不同的细胞反应。例如,Fujisaki博士和他的同事发现,当HEKs在低钙浓度的3D胶原凝胶上培养时,细胞被诱导凋亡(程序性细胞死亡)。然而,当同样的细胞在同样的钙条件下在非凝胶形式的Col-I上生长时,它们会生长。此外,他们还假设并证明了在Col-I凝胶上细胞生长需要更高浓度的钙。
HEKS中还存在一些永生化的细胞系(由于突变而导致的细胞无限期地增殖)。线条单元格更容易处理,但它们具有不同的字符。不同类型的角质形成细胞线细胞应对不同的钙浓度,有些人能够耐受宽范围的浓度,以及其他需要更具体的范围。
优化不同胶原基底的使用
胶原蛋白通常在人体中形成原纤维。然而,研究了有限的研究,鉴于Col-I凝胶认为不同培养条件下的影响。虽然基质刚度是细胞培养的越来越研究的调节因子之一,但这些底物和细胞之间的复杂相互作用需要进一步的探索。
I型胶原型原纤维提供了一种研究细胞功能和疾病的优秀模型系统。
富士科博士想鼓励更多的细胞生物学研究人员考虑使用胶原蛋白来调查细胞行为的变化。她解释说,可以根据实验的目的选择不同的培养方法;对于角质形成细胞,凝胶培养物已用于伤口愈合模型。制备COL-I的方案,无论是2D非纤维形式还是3D纤维形式,都很简单,可以应用于各种实验问题。
为了促进这一点,富士崎博士和她的同事设计了一个可用于指导凝胶文化的视频报告。为了展示其简单性,富士科博士为如何准备纤维凝胶和非纤维形式的Col-1提供指导,除了解释HEK细胞系,FEPE1L-8以及如何估计数量文化中的活细胞。



胶原基底的其他应用
加深对细胞和两种不同形式的Col-I底物之间相互作用的理解可能会影响实验的设计;根据实验的目的,可以使用不同形式的胶原蛋白。
在培养角质形成细胞时,一个可能的考虑是如何最好地模拟细胞正常生长的基底膜。虽然IV型胶原蛋白凝胶通常用于此,但它们需要很长时间来准备,因此含有I型和IV型胶原蛋白混合物的新型培养基质可能是一种通用的选择。
凝胶培养系统也可用于研究癌细胞。富士崎博士及其同事们在2D非纤维和3D纤维COL-I基材上培养了三种不同的人类癌细胞系。他们发现在纤维组织Col-I凝胶上生长时,抑制了三种测试的癌细胞系的增殖,而细胞在2D底物上生长。他们假设这是由于抑制细胞存活信号。这可能是从生理角度来看的意义,因为这种细胞存活信号的抑制可以是人体试图防止癌细胞的不受控制扩散和增殖的一部分。
还需要进一步研究不同培养系统和不同类型细胞之间的关系。了解更多关于复杂的互动将有助于开发更有用的有机体和对癌症入侵的理解。
个人反应
你的体外发现如何对应于现实生活中的身体发生的事情?
专注于详细条件的细胞培养实验可用于了解实际的生物学状态。使用3D Col-I凝胶培养系统被认为更好地模仿生理环境而不是使用2D Col-i的非纤维形式的生理环境。我们展示了Col-i的易于治疗方案的易于治疗方案。我们预计更多细胞生物学研究人员使用Col-I凝胶培养系统。

