脑炎——病毒感染攻击大脑
匹兹堡大学的克莱顿·威利教授研究了新的大脑病毒感染的出现及其与痴呆症的联系。他检查了脑炎,这是一种破坏大脑功能的脑组织炎症,并导致不同严重程度的症状,如头痛、发烧、精神错乱、意识改变、感觉丧失、记忆问题、注意力或说话困难,甚至癫痫。了解这些设法进入大脑的病毒对于减轻感染和为不可避免的新出现的未知感染源的到来做好准备至关重要。
人类花了数百万年的时间才进化成今天的我们。病毒要快得多。我们已经熟悉的现有病毒可以进化并引起偶尔的流行病,比如造成每年流感的病毒。人类已经学会了应对这些。然而,有时会出现新的病毒,让我们措手不及,其中一些病毒甚至会引发大流行,扰乱我们的日常生活——这是我们在2021年非常清楚的事情。
病毒是什么?
病毒是由遗传物质(DNA或RNA)组成的,这些遗传物质包含在一个表面有蛋白质的保护膜内。为了生存和繁荣,它需要一个宿主——例如,一个人类。一旦宿主被感染,病毒就会利用宿主的细胞机制进行复制。要做到这一点,病毒首先必须结合并进入宿主细胞。病毒遗传物质是一种编码,指示如何合成病毒的每一个成分。在宿主细胞内,数千个包膜蛋白和遗传物质的副本被合成并组装成新的病毒颗粒。然后,这些病毒粒子被释放出来,在宿主体内传播,并感染其他细胞,以保持复制。最后一步是转移到另一个主机。

广泛的策略使从一个主机传输到另一个主机。例如,称为肠病病毒的病毒,主要在宿主肠道中复制,并依靠手部接触感染新宿主。血液中发现了叫做arboviruses的其他病毒。他们的传输被蚊子或蜱等向量促进。
我们的防御机制
先天和自适应免疫是宿主防御机制,防止病毒在细胞内部生长。先天免疫包括物理和生化障碍。例如,皮肤作为屏障,并构成对侵袭病原体(病毒,细菌)的第一行防御。鼻子里的粘液是障碍物的另一个例子:它可以在我们呼吸的空气中捕获病毒。如果病毒进入身体尽管物理障碍,先天免疫力也会发挥作用。病毒通过宿主细胞被认为是异物。这种识别触发了病原体的破坏。
自然选择创造了一种惊人的障碍,防止病毒到达大脑。
自适应免疫涉及分子,例如细胞因子和抗体,其中和病毒和杀死感染宿主细胞的细胞。自适应免疫系统具有记忆:它记得最初的病原体感染,使得随后的遭遇,保护响应更加坚固且有效。
治疗
虽然我们制定了强大的防御机制,但有些病毒设法逃避免疫系统。当情况是这种情况时,需要治疗方法来提高免疫防御。一种理想的抗病毒药物是一种特异性破坏对病毒至关重要但不参与宿主代谢至关重要的元素或生理机制的药物,使其靶向病毒而不会对宿主造成伤害。这种药物难以发现,有时候,治疗病毒感染的最佳疗法是防止它首先发生。这是当检疫或疫苗有用时。
流行病和传染病
病毒逃避免疫系统的一种常见方法是改变其表面或包膜上的蛋白质。它们通过突变做到这一点。当发生足够多的突变时,病毒蛋白质的变化如此之大,以至于宿主抗体无法识别它。然后病毒就逃脱了免疫系统的中和。这导致了一种新的流行病。
时不时地,病毒会造成更大的破坏:当两种不同的病毒感染同一细胞时,遗传物质的片段就会发生交换。当它们复制和病毒粒子组装时,全新的重组就产生了:新组装的病毒粒子包含两种病毒的蛋白质。如果这些新病毒能够有效传播,它们就可能成为新的大流行的源头。
大脑障碍
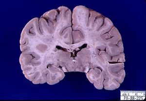
保护大脑免受病毒和其他病原体的侵袭是至关重要的。由于这个原因,自然选择创造了一套惊人的屏障,阻止病毒到达大脑。这从头皮上的头发开始,在不渗透的皮肤表面上形成一层绝缘层空气。在皮肤之下,颅骨和其他被称为脑膜的组织层保护着大脑。有了这些完整的屏障,病原体就不能直接进入大脑。
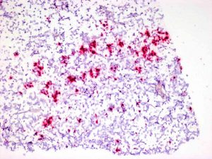
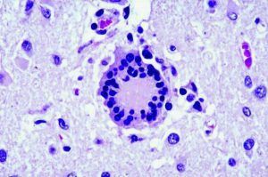
只有当身体其他部位存在病原体时,才会发生脑感染。然后,它们可以通过血液或神经扩散到大脑,但还是有一些障碍。大脑中的血管是由紧密排列的细胞组成的,这些细胞通常可以阻止血液中的细菌和病毒进入大脑,这被称为血脑屏障。此外,在大脑内部,名为小胶质细胞的免疫细胞会在周围环境中巡逻,寻找任何外来元素。
尽管有这些障碍,但一些病毒仍然可以感染大脑。当发生这种情况时,它们经常会导致致命疾病。Wiley教授审查了出苗的病毒感染和他们在过去的50年里造成的神经病理学。这里有一些例子。

流感病毒
不同的流感菌株可以感染不同的宿主,包括鸟类,猪和人类。在罕见的情况下,流感的流感发展从一个宿主(例如,猪)跳跃的能力,并感染新的宿主(例如,人类)。新宿主在之前没有看到新的病毒菌株,因此没有免疫力,导致迅速和巨大的差异导致全球感染或流利。
流感病毒引起了几次大流行,包括1918年的西班牙流感和2009年的猪流感。也是禽流感的起源,这被认为是一个伟大的大流行的威胁:到目前为止,只有人类一直在密切接触受感染的鸟类开发禽流感造成的致命的神经系统疾病,因为病毒是——幸运的是我们不能在人与人之间传播。然而,这可能不会无限期地持续下去。
Wiley教授审查了出苗的病毒感染和它们在过去50年中引起的神经病理学。
西尼罗病毒
西尼罗河病毒是通过蚊子传播给人类的。虽然高达80%的感染者不会出现症状,但其余20%的人会出现脑炎的典型症状,如发烧、头痛、疲劳、不适、肌肉疼痛和虚弱。当病毒扩散到大脑时,会导致方向感障碍、运动障碍(严重震颤和帕金森病)、瘫痪,甚至昏迷和死亡。
Zika病毒
Zika病毒也由蚊子传播。自20世纪50年代以来,当Zika病毒在人类中首次检测到时,病毒在赤道非洲和亚洲中的广泛循环,通常导致没有或仅轻度症状。然而,2015年,Zika病毒向美洲病毒传播到美洲和幼稚的免疫系统,无疑是对病毒的影响。巴西报告了高达100万感染。虽然大多数感染是临床轻微的,但Zika病毒可能引起瓜毛病毒,这种神经系统的严重状况,其特征在于脚,手和四肢的麻木,弱点和疼痛。Zika病毒也可以在怀孕的第一个三个月期间从母亲到胎儿传播,导致婴儿的微微术(异常小的头部)和其他先天性畸形。
HIV-1负责艾滋病流行病,是从大约70年前的黑猩猩代理商中衍生出来,使跳跃感染人类。能够避免免疫系统,病毒在宿主内存在很长一段时间内,在此期间,通过关闭血液或身体分泌物的接触交换,主体可以将其传播到新主体。这就是HIV-1最终感染了7000多万人的人。
当HIV-1进入大脑时,它靶向小胶质细胞,神经系统的哨兵免疫细胞。感染的小胶质细胞破坏了大脑并引起神经变性(神经元的渐进病)和痴呆。
冠状病毒
目前已知的冠状病毒有七种。其中四种是地方性的,这意味着它们在人类中广泛传播。对大多数人来说,它们只会导致感冒。另外三种已知的人类冠状病毒疑似来自蝙蝠,并通过中间宿主传播给人类:棕榈果子狸传播的是严重急性呼吸综合征冠状病毒(SARS-CoV),骆驼传播的是中东呼吸综合征冠状病毒(MERS-CoV),穿山甲可能传播的是SARS-CoV-2(也称为COVID-19)。所有这三种冠状病毒介导了严重肺炎,它们在人类中的出现是出乎意料的。虽然SARS-CoV和MERS-CoV的传播有限(分别在世界上造成约800人死亡),但COVID-19已经扰乱了我们的生活一年多。精神错乱、注意力不集中、味觉和嗅觉丧失,甚至失去意识、癫痫和中风等症状表明,COVID-19影响(尽管可能不会直接感染)人类大脑。
由于最近出现了SARS-COV-2,它对认知的长期影响仍然是未知的,但世界各地的研究人员正在积极研究该疾病。Covid-19可以带来永久性认知下降,因此与痴呆症相关联?时间会告诉。
个人反应
什么激发了你进行这次审查的启发?
全球人口近80亿,我们很容易成为来自其他物种的新病毒的攻击目标。正如COVID-19大流行不幸证明的那样,我们需要保持警惕,监测和检测这些新的传染性病原体。但我们也需要了解病毒的生命周期和我们对它的免疫反应,这样我们才能制定措施防止病毒感染我们的大脑。

