照着结节病轻:感染治疗的路径
结节病是一种罕见和令人沮丧的病情。罕见,因为这种疾病影响了每10,000人中的一个;令人沮丧的是因为它影响身体的不同部位,产生各种症状(或有时根本没有),目前没有已知的治疗方法。
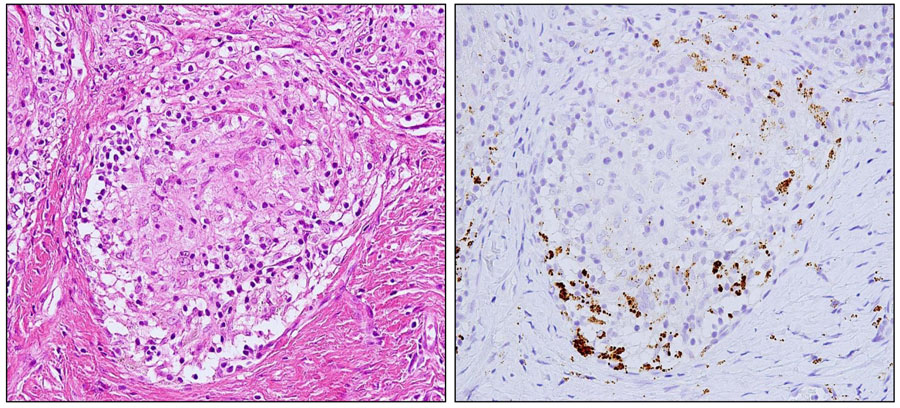
结节病引起球样炎性细胞的集团在受影响的器官发育。这些紧密结合的细胞与细胞间的企业集团被称为肉芽肿是身体的可消化不佳抗原,例如感染,而不是疾病本身免疫反应的产物。
难以诊断,令人棘手
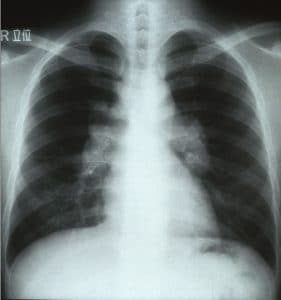
结节病最常见地影响肺部:约90%的结节病患者具有肺形式的疾病。主要症状是持续的咳嗽和呼吸急促。结节病也会影响皮肤,在那里它会导致嫩红色凸块和皮疹出现。然而,虽然这些是条件最常见的类型,但顺序化也会影响其他器官。如果发生这种情况,症状可包括红色,痛苦的眼睛,关节或肌肉疼痛,疲劳和嗜睡和腺体 - 等等。这种广泛的症状,没有一个特异性对齐,使其成为难以诊断的困难。用于诊断条件的测试取决于哪些器官似乎受到影响。例如,胸部X射线可以有助于诊断肺结气。
这些快速乘法P. Acnes.并不总是保持在它沉睡的器官局限性。
好消息是,在大约60%的患者中,Sarcoizosis病将变得更好 - 虽然这可能需要几个月甚至几年。在其他患者中,需要治疗。这可能包括类固醇,有助于缓解症状并减少炎症。其他免疫抑制剂药物,有时也使用控制身体的免疫应答。
在极少数情况下,结节病可引起内脏严重受损,包括心脏和肺。这可能会导致需要进行肺移植或心脏起搏器等。如果结节病要更好的理解,诊断和治疗,第一步就是试图找出疾病的根源。
结节病的难以捉摸的原因
直到最近,结节病的病因或原因仍然难以捉摸。然而,现在,Eishi博士和他的东京医疗和牙科大学的团队将注意力集中在一个叫做的细菌上Propionimibacterium Acnes.。P. Acnes.是人类的共生细菌。这意味着它是身体正常微生物群的一部分:收集在身体中的细菌,真菌和病毒,通常不会产生任何问题。实际上,P. Acnes.已被发现是没有结节病的肺部和淋巴结中最常见的共生细菌。
什么可以触发这种通常无害的细菌来引起结节病?首先,了解可能由细菌等共生微生物引起的不同类型的内源性感染是有用的。内源性感染可以被归类为机会主义,组合或超敏反应类型。机会性感染利用受损免疫系统;例如,它们是艾滋病患者的常见。除非触发过敏免疫应答,否则内源性感染的超敏反应不会损害身体。例如,组合型感染,真菌可能导致其他两种类型。
结节病导致P. Acnes.超敏反应组内源性感染内。这就是为什么,在正常情况下,它不会造成问题。但是,它可以作为潜(休眠或隐藏)感染在肺和淋巴结存在。Eishi博士和他的研究小组发现,在一定的环境条件下,休眠P. Acnes.被激活。一旦被激活,P. Acnes.增殖在存在潜在感染的器官的细胞中。在过敏患者中,细菌的增殖触发了肉芽肿的生长。
如何P. Acnes.引起结节病?
快速繁殖P. Acnes.并不总是保持在它沉睡的器官局限性。相反,一些细菌可以逃避,通过淋巴系统和血液迅速扩散到身体的其他部位。通过这种快速迁移,P. Acnes.可能最终殖民地殖民,例如,在心脏,眼睛或皮肤中建立新的潜在感染。
新的潜伏感染可能被激活,以同样的方式与原始感染,特定环境条件下。这导致系统性结节病,其中体内多个器官发育肉芽肿。只要人体的免疫系统无法消灭任何潜在的感染,结节病的周期将重复任何时间出现在正确的条件引起细菌激活。
在感染,免疫和过敏反应之间的相互作用中可能导致顺序化。
系统性速度越来越持续,情况越严重。反复发作的炎症会导致受影响的器官瘢痕形成。最终,对器官的损坏可能会大大,以影响其功能。
Eishi博士和他的团队已经确定了术中可能因感染,免疫和过敏反应之间的相互作用而导致。总之,有三种情况发生,允许P. Acnes.到事业结节病:潜P. Acnes.感染,激活环境因素引发的潜在感染,对增殖的过敏免疫应答P. Acnes.。
朝着结节病的治疗
Eishi博士的工作应该有助于为更具针对性的疗法提供信息。抑制免疫系统的治疗 - 主要是皮质类固醇 - 已被用于解决半个世纪以上的结节病的症状。不幸的是,这些治疗有一些缺点。一旦病人停止服用药物,就会有很大的复发机会。长期使用皮质类固醇可以具有副作用,从不愉快到危险,包括瘀伤,体重增加,糖尿病和高血压。免疫抑制药物可以减少肉芽肿形成;虽然这看起来似乎是一个积极的事情,但肉芽肿是通过停止蔓延来保护自己的身体方式P. Acnes.感染。
在一些结节病患者中,抗生素可能是有效的治疗选择。抗生素将在活性感染期间杀死增殖细菌。重要的是,它们还可用于防止激活潜在感染。这意味着服用抗生素长期可以阻止一些结节病患者遭受的恢复循环和再激活。理论上,抗生素可用于完全根除潜在感染,导致完全缓解顺源病。但是,在实践中,这可能很难实现。Eishi博士建议,当皮质类固醇用于治疗时,同时使用抗生素可以防止蔓延P. Acnes.受损肉芽肿形成引起的感染。
P. Acnes.有时也可以负责痤疮的病例。痤疮患者的研究最近发现的抗生素四环素组是一个强大的方式来战斗P. Acnes.感染。这反过来导致发现四环素也可以是对顺子的有效治疗。
一种接近治疗问题的新方法可能是特别靶向过敏免疫应答。然而,抗肿瘤坏死因子-α药物不仅用于类风湿性关节炎,而且可以使结核病或结核病作为潜在的肺部结核病或P. Acnes.可以分别通过这些药物重新激活。一种更具体的方法来靶向超敏反应P. Acnes.是必要的。Eishi的一些工作中的一些建议是特定的蛋白质如P. Acnes.触发因子或过氧化氢酶负责对这种共生细菌的过敏率。
虽然有关Sarcoizosis病变的许多问题仍然被回答,但Eishi博士和他的团队的工作揭示了这种难得和令人沮丧的疾病的一些重要秘密。希望在不太遥远的未来,患者患者能够期望更快,更清晰的诊断和具体的治疗计划。
个人反应
首先促使您的研究促进了这一领域吗?


这篇文章是非常丰富!
一个最开悟的文章。
在肠道病毒后,我的儿子被患有进步癫痫发作障碍。他最近的CSF显示了丙酸杆菌,但它被折扣为污染物。有颜料升起的组织细胞存在,没有创伤龙头。
这是非常有效的。我妈妈去年遗憾地死于这种疾病。它袭击了她的肺部。我想更多地了解进一步的研究,因为我不知道是什么造成的。
让我希望正在进行研究,原因,除此之外的待遇计划。
我一直刚被诊断出患有结节病,我已经给了我当地医院或我的GP的游侠信息,这篇文章非常有用。我希望有更多的文章与这些关于结节病的最新治疗有关。