酒精过度使用:切到骨头
我们的骨骼是活的组织,即使到了成年,也会不断发生变化和替换(骨骼重塑)。随着我们在童年时期的成长,我们的骨量会不断增加,直到达到“峰值骨量”(PBM)。PBM的定义是一个人可以获得的最大骨骼量,在青少年晚期和20岁早期达到。PBM较高的个体患骨质疏松症的风险较低(骨质疏松症是一种骨骼疾病,当身体失去太多骨头或制造太少骨头时发生,或两者都有),这是老年绝经后妇女发病和死亡的主要原因。
酒精和骨骼健康
尽管大多数人饮酒都在安全范围内,但许多人的饮酒水平被证明对健康有害。在美国,18-30岁的女性中约有20%(440万)酗酒。饮酒超过安全限度会影响骨骼健康,长期饮酒会干扰骨骼生长和重塑。由此导致的PBM减少使妇女在晚年容易患骨质疏松症。临床研究表明,酗酒与骨质疏松症、骨量减少和骨折风险相关,并可延迟骨折愈合。虽然众所周知,妇女比男子更容易受到酒精(即乙醇)的毒性影响,但对妇女过度饮酒对其骨骼健康产生毒性影响的机制却知之甚少。
更好的骨头
这就是新奥尔良路易斯安那州立大学健康科学中心药理学和实验疗法系教授马丁·罗尼斯博士的研究。他的研究探索了酒精对骨转换的影响。他特别感兴趣的是抑制骨形成和刺激骨吸收与年轻女性酗酒和骨质疏松增加的风险之间的关系,这是由于未能获得PBM。他的研究涉及多学科基础科学,包括整个动物生理学、营养学和内分泌学、病理学和分子生物学技术。最终,Ronis教授的目标是更好地理解酒精毒性作用的分子基础,这可能会发现新的治疗靶点,以防止骨流失。
Ronis教授当前的工作建立了在儿科欧洲特区/阿肯色州儿童医院的合作者的历史悠久的酒精研究。研究人员探讨了慢性乙醇暴露在大鼠模型中的效果,这些模型模拟了泪液饮用者中发现的血液醇模式。他们发现骨密度,皮质区域和成熟的骨强度受到醇的负面影响,并且首次显示慢性乙醇在肢体延长期间抑制快速骨形成。他们还表明某些促炎分子 - 称为细胞因子 - 在乙醇相关骨骼病理学过程中起重要作用。令人兴奋的是,该团队能够在同一大鼠模型中使用针对这些细胞因子的抑制抗体来保护骨折愈合。
这项早期工作结合了酗酒是骨质疏松的已知风险因素这一事实,Ronis教授思考了慢性饮酒后发生骨量减少(骨质减少)的方式,从而导致衰老过程中骨质疏松的风险增加。由于骨质疏松症主要是一种影响女性的疾病,Ronis教授决定将他的研究工作集中在女性和独特的生理状态(包括循环,怀孕和哺乳期后),与他的另一个研究领域,即怀孕期间的酒精-营养相互作用,由国家酒精滥用和酒精中毒研究所资助
乙醇效应在怀孕中
在2006年发表的一项研究中,Ronis教授直接测试了乙醇对怀孕和循环的老鼠的影响。研究小组测量了酒精对骨骼参数的影响,包括胫骨骨密度(TBMD)、骨矿物质含量和骨矿物质面积(BMA)。在酒精暴露后观察到一种剂量依赖性的骨骼毒性,表现为TBMD和BMC下降。他们的数据表明,乙醇诱导的孕鼠骨丢失主要是由于骨形成受到抑制。与之形成鲜明对比的是,非妊娠大鼠的骨流失高于妊娠大鼠,其发生机制与妊娠大鼠不同,同时伴有骨吸收增加和循环雌二醇水平下降。
骨质疏松症是老年绝经后妇女发病和死亡的主要原因
保护性雌二醇水平
探索酒精的怀孕保护效果进一步,罗尼斯教授和他的团队证明了骨髓细胞发生的作用 - 开发了破骨细胞细胞的过程。骨壳是负责分解骨骼的细胞,导致骨吸收。ronis教授表明,雌二醇水平阻断醇刺激的氧化应激,其又促进Rankl(核因子κα配体的受体激活剂,骨骨形成的物质) - 诱导骨质细胞发生。该发现对使用含有发性的避孕药具有显着影响,用于保护饮用过度饮用的个体的含酒精骨质增生(弱骨骼)。值得注意的是,该团队还表明,哺乳期雌性大鼠中酒精完全阻塞了代谢骨重建。这对哺乳期妇女进行了重要意义,在停止母乳喂养后恢复饮酒,表明它们可能会增加骨质疏松症的风险。
氧化应激的作用
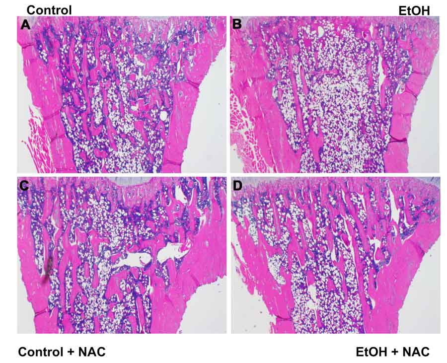
Ronis教授对特定生理状态(妊娠、哺乳和更年期)中骨重塑的差异很感兴趣,他继续进一步探索潜在的分子机制。在一系列的实验中,研究小组发现乙醇通过改变骨髓间充质干细胞的分化来抑制骨形成。这些干细胞不是形成成骨细胞(骨细胞形成细胞),而是分化为脂肪细胞或脂肪细胞。他们证明了氧化应激是其中一个重要的机制。研究小组接着证明,NADPH氧化酶(NOX)产生的过量活性氧(ROS)是乙醇对骨转化的影响。饲喂乙醇的雌性大鼠和小鼠的骨丢失实验被膳食抗氧化剂阻断,包括n -乙酰半胱氨酸(NAC)、维生素E和NADPH氧化酶(NOX)抑制剂DPI。
有趣的是,Ronis教授发现,在缺乏NOX1/2酶活性形式的实验遗传性小鼠中,乙醇抑制成骨细胞生成(形成骨的成骨细胞)和刺激骨髓脂肪细胞形成的作用没有被阻断。由于骨中乙醇病理的一个主要成分是过量ROS的产生,这导致团队假设另一种ROS来源介导了这种效应。研究人员随后探讨了ROS生成NADPH氧化酶-4 (NOX4)和线粒体源ROS在驱动乙醇诱导的骨形成抑制中的作用。
目前的研究
利用新的鼠标模型的多余酒精消耗,Ronis的当前工作教授旨在在细节细节中解开乙醇后骨中的ROS信号传导。令人兴奋的是,最近的数据还表明,在老龄化期间正常干细胞自我更新和骨骼发育是必要的ROS信号。为了测试NOx4是否有责任介导乙醇对骨形成的影响,前体内(对从身体中的组织的实验)来自遗传小鼠的骨髓培养物中缺少NOx 4中所选骨细胞类型(骨盆前体,骨细胞,骨细胞,骨质细胞)将钻取涉及的机制。
Ronis教授目前的工作目标是
详细分析过量乙醇摄入后骨内ROS的信号机制
该团队最近的发现表明,膳食抗氧化剂是由于阻断过量的过氧化氢而导致醇诱导的骨赘。过氧化氢是作为在乙醇代谢(崩解)之后的NADPH氧化酶的活化的结果产生的RO的形式。重要的是,由于酒精诱导的骨质损失与绝经期间骨质损失共同征收许多特征,因为骨骼骨质损失,骨中过氧化氢下游效应的酒精作用可能很好地为正常骨生长调节的常见分子途径提供了根本的见解周转。
个人反应
你对酒精毒理学领域的贡献是巨大的。你下一步的研究是什么?


你好,
谢谢你分享有用的信息。这是一个很棒的博客。