配药RET变异
蛋白质暴动酶(PTKs)引起蛋白质黄磷化过程,该过程规范蛋白质并导致下游进一步效果PTK是多细胞交互响应中关键角色,被称为信号传递路径,在基因层次上引起变化中断可引起重大健康问题
某些特殊基因,即oncogenes,因这些中断而异常激活这可能引起肿瘤,像调控激活oncogene可以促进细胞扩散和生存,两者都是癌症标志蛋白质暴动RET(移植期间重新排列)不受控制地激活时即是如此。
异常RET激活
RET是一个转模PTK系统,对身体方方面面开发很重要,如肾脏和进取神经系统RET通常通过绑定式专用程序激活,该程序诱导转基因蛋白及其共接收器复合体同化,而蛋白综合体由两个相同的蛋白或蛋白综合体组成允许两台RETPTK自动机反射并随后激活信号传输路径RET可激活数条信号路径,特别是RAS/MAPK路径,该路径受多癌症影响
获取对这些新药的抗药性似乎是不可避免的,
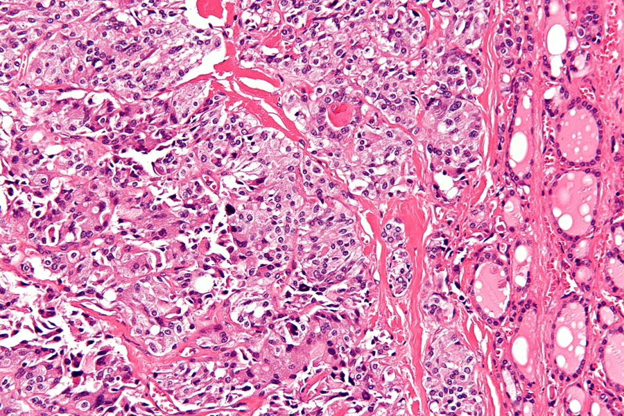
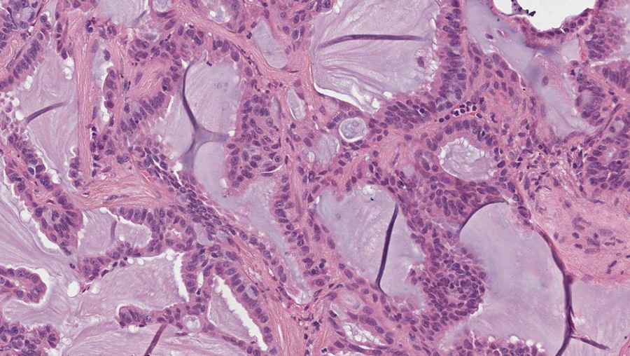
通常情况下,RET激活受规范,但遗传变化可能发生,导致蛋白质持续活化RET可因基因聚合或点变异而变换,其中一些在多内分泌2-影响内分泌Glands这两种变化都会导致不受控RET激活,转而意味着信号路径上的进一步响应也将开机下游效果是细胞增加扩散和生存,引起肿瘤形成
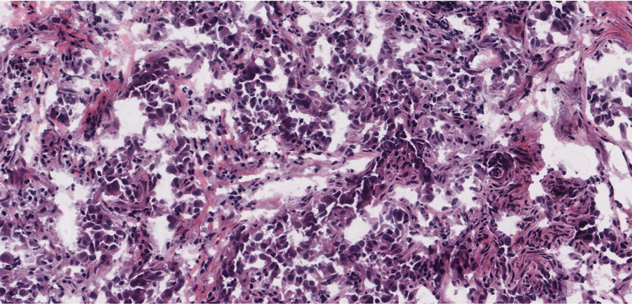
在许多类型癌症中都可以看到这种异常活性RET蛋白,其中包括神经甲状腺癌(MTC)、毛状甲状腺癌(PTC)和非小细胞肺癌(NSCLC)等实验实验证实转基因变异技术基因是这些癌症的原因,并需要异常变频活动使肿瘤细胞保活这使RET成为癌症处理的良好目标
定位PTKs
多PTK原型后因子化化作用,在治疗癌症时以PTK为对象多PTK抑制器存在,如EGFR抑制器,并用于临床环境工作方式直接绑定活性昆虫网站,使其无法再使用磷酸蛋白etrite专用抑制器建立前,为Vandetanib和lenvati使用这些抑制器对抗变换式癌症并取得一定成功但它们可导致非目标效果,并见于某些例子中的抗药性
结构研究显示,PTK阻抗器前后绑定ret装药切片然而,一些癌症细胞可以通过替换氨基酸来适应这些抑制物,氨基酸叫守门人用另一种氨基酸显示这种替换通过中断抑制器与RET分子绑定产生抗药性,允许它重新激活并进化癌症
Pralsetiib和selpercatinib
pralsetinib和selpercatinib是专为抑制RET而设计的新PTK与老式多目标PTK抑制器相比,pralsetib和selpercatinib能力大得多,有选择地抑制RET运动结果是更有效地抑制EST动画作用肿瘤并减少副作用美国林业局最近批准pralsetiib和selpercatinib用于反变换NSCLC、MTC和PTC, 在欧洲也得到批准最重要的是,这些抗药性被有效用于对PTK较常用抑制器产生抗药性的病人这是因为pralsetiib和selpercatinib以非常不同的方式绑定RET避免因守门人氨基酸变化而干扰
晶体结构由Mooers博士和俄克拉荷马大学健康科学中心同事从高分辨率分片数据同步辐射中测定Pralsetiib和selpercatinib绑定活动网站前后插件,与其他抑制器相似。差别在于,它们不穿过城门区域而环绕它表示从抗癌中看到的守门人变换对pralsetiib和selpercatinib没有作用这些抑制器仍然能够在守门人突变面前绑住并停用RET但这些抑制器与数非基本氨基酸残留这使得pralsetiib和selpercatinib易受这些氨基酸中抗药性突变的影响
更多阻力被看到
新技术专用药比普通抑制药有效得多,18个月响应率达60-85%。后天抗新药似乎是一种确定性,需要时刻留意进化阻抗正因如此,Wu博士及其同僚决定采取主动方法,确定阻抗源
理解阻力分配方式是未来RET专用处理之关键
武博士通过实验多条细胞线 发现突变对selpercatinib和pralsetiib都产生抗药性细胞文化用药集中度提高处理,最终导致进化抗药性Subbiah博士一直在治疗并跟踪参加这些小说RET-ibitor临床试验的RET阳性癌症患者多数病人响应理疗,取肿瘤缩影扫描提高生活质量大约两年后 药厂停止工作这是因为癌症开发机制使药物失效被称为进化抗药Mooers博士和Wu博士在结构中看到的抗机制也见诸肿瘤,肿瘤成为抗治药在某些情况下,启动下游RET目标完全绕过RET在其他例子中,有直接配药变异如前所述,这些抑制器不绑住RET门区,因此能够克服守门人变换的阻抗非看门突变似乎应对病人和细胞文化所见的抵抗负责。
反变异细胞培养顺序排列,无细胞抗药性患者脱氧核糖核酸排序变异被确定为溶剂前端、链形和ret2线域以上所有领域都与Selpercatinib或pralseti对这两种药最强抗药性表现为溶剂前端区810残留物替代物,这意味着RET加甘油810变异最小受这些药抑制,对产生获取抗药性尤其重要
未来RET理疗
开发癌症治疗新目标时,抗药性总是个问题因此,必须采取主动姿态并预测突变可能发生后,病人甚至会发病前会发生什么变化。以这种方式,下一代药可以较早开发以规避抗药性RET显然是极佳目标,因为它变换了这么多癌症,抑制它给病人带来如此有希望的结果。能够预测会发生什么或理解产生抗药性对保持治疗尽可能有效至关重要更多RET专用药正在制作中,使用这些药与别药并用的可能性大有希望。确切理解药法原理和抗药性分配方式是未来RET专用治疗的关键,以便保持领先癌症的一步。
个人响应
组合法与RET抑制器可用来克服这种抗药性吗?
在转移式癌症中,无法通过癌症处理完全消除的残留肿瘤会演化成抗性肿瘤,导致疾病演化辨识蛋白暴动类癌症疗法中经药改性突变对开发下一代药以抑制这些变异性至关紧要,以便把不可治愈恶性病化为可控慢性病

