一种更安全,有效的自身免疫肾小球肾炎的治疗方法
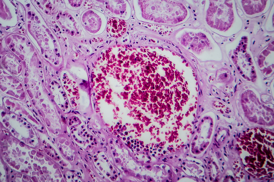
肾脏是人体内建的高效“排毒”系统。肾脏过滤和清洁血液,将废物以尿液的形式排出体外。每个肾脏内有超过一百万个微小的过滤单位,称为肾小球。每个肾小球都由紧密的毛细血管结组成,在这些毛细血管中,血液在高压下被过滤。
肾小球肾炎是一种肾脏疾病,它会对肾小球造成损害,阻碍肾小球发挥其基本功能。这种损害采用血管炎的形式,这会导致血管壁的变化,可能妨碍血流。发生这种情况时,肾脏不能有效地从血液中消除废物(如尿素)和过量流体。虽然某些类型的肾小球肾炎不一定会导致严重症状,但某些形式的病情可能是毁灭性甚至危及生命,危及危及危及生命,损害肾脏损害肾脏甚至需要移植的程度。
肾小球肾炎通常是一种自身免疫性疾病;换句话说,它是由身体的免疫系统攻击自身组织引起的。在自身免疫性抗髓过氧化物酶肾小球肾炎(anti-MPO GN)中,免疫系统攻击一种叫做髓过氧化物酶的酶。这种酶主要存在于一种特殊类型的白细胞中,这种白细胞是人体免疫防御的重要组成部分。正常情况下,这些白细胞会摧毁侵入性病原体,如细菌。然而,在抗mpo GN中,白细胞似乎转而靶向肾小球。抗mpo GN是一种危及生命的疾病,会导致肾脏小血管的严重炎症。
抗MPO GN的当前治疗方案有限。可用的药物仅部分有效,并且与许多不利影响有关;特别是,随着治疗导致免疫系统的广泛抑制,患者具有很高的收缩严重感染的风险。更安全,需要更具体的防MPO GN处理。理想情况下,这些治疗应该仅抑制抗MPO免疫应答,从而保护肾免受损伤。
探索耐受性树突细胞
澳大利亚莫纳什大学的Dragana Odobasic博士领导了对自身免疫性肾病的更安全治疗方法的研究。在最近的一项研究中,Odobasic博士和她的同事研究了一组被称为致耐受性树突状细胞的特殊细胞在开发抗mpo GN新疗法中的潜力。
树突状细胞在暴露于病原体(或疫苗接种)后出现的自适应免疫 - 免疫中起重要作用。已知活化或成熟的树突细胞是某些类型的自身免疫疾病的因素。然而,未成熟的树突细胞可以通过抑制称为T细胞的免疫细胞来防止免疫系统的过度活性。这些未成熟的细胞称为耐受性树突细胞,因为它们在免疫系统中促进“耐受性”(不响应)。
致耐受性树突状细胞可促进免疫抑制,因此可以满足抗mpo GN特异性、靶向治疗的需要。
致耐受性树突状细胞以一种特定的方式促进免疫抑制,因此可以满足抗mpo GN更有针对性的治疗的需要。这些细胞已经在第一阶段试验(测试药物的安全性和毒性)中用于患有其他自身免疫性疾病的患者。结果是有希望的。Odobasic博士和她的同事们怀疑这种治疗方法在抗mpo GN中可能特别成功,因为异常的免疫反应针对的是一种已知的特定蛋白质(髓过氧化物酶)。此外,在许多急性抗mpo GN患者中,通过有效的治疗,肾脏损害至少可以部分逆转,减少了肾移植或透析的需要。
在最近的研究中,Odobasic博士和她的团队研究了致耐受性树突状细胞是否能有效地抑制mpo特异性自身免疫,从而限制相关的肾脏损伤——如果是这样,这究竟是如何发生的。
鼠标模型揭示了自身免疫
为了了解有关反MPO GN的疾病途径的更多信息,Odobasic博士和她的团队以前开发了一种与人类中的病情密切相关的鼠标模型。在这项研究中,该团队首先通过用一系列仔细选择的物质培养小鼠骨髓细胞来创造合适的耐受性树突细胞。这些包括蛋白质复合NFκB的抑制剂,其在树突细胞的病原体斗争和促炎能力中起主要作用。重要的是,树树突细胞也用MPO处理,因此它们可以呈现,因此关闭导致抗MPO GN的MPO特异性T细胞。通过这个过程,团队成功地创造了能够特别关节肌髓氧化酶的耐受性的耐受性树突细胞。
接下来,该团队在一些小鼠身上诱导抗mpo GN疾病。然后用致耐受性树突状细胞对这些小鼠进行治疗。正如研究小组所希望的那样,结果表明,注射致耐受性树突状细胞可以成功且准确地“关闭”抗mpo自身免疫,而不影响对其他蛋白质的免疫反应。具体来说,研究人员发现树突状细胞抑制了几种类型的有害白细胞的活动,包括CD4 T细胞、CD8 T细胞和b细胞。通过这种方式,树突状细胞阻止了肾小球肾炎所特有的血管损伤。
该团队还发现,耐受性树突状细胞能够通过诱导一种称为调节性t细胞的免疫细胞抑制抗mpo自身免疫。调节性T细胞,顾名思义,调节免疫系统的活动;至关重要的是,这些细胞维持对自身抗原(由身体自身细胞表达的蛋白质)的耐受性,并有助于预防自身免疫疾病。
注入MPO呈递耐受性树突细胞可以成功且精确地“关闭”抗MPO自身免疫。
Odobasic博士怀疑,尽管致耐受性树突细胞在受者体内只能存活几周,但它们的作用可能会持续更长的时间。此外,多剂量的致耐受性树突状细胞可以产生更强、更持久的效果,增强治疗对肾脏的保护能力。
1.从小鼠中分离骨髓。
2.培养小鼠骨髓细胞8天
(在GM-CSF和NFκB抑制剂存在下)。
3.用抗cd11c微珠富集DCs
(95%CD11c +细胞)。
4.重组脉冲DCs
鼠标MPO(2小时)。
一种针对自身免疫性疾病的靶向治疗方法
Odobasic博士的工作首次证明,注射致耐受性树突状细胞可以特异性地“关闭”抗mpo自身免疫,保护肾小球免受血管炎的侵袭。此外,其他研究人员已经将耐受性树突状细胞用于不同的自身免疫性疾病的研究,取得了类似的有希望的结果。
这些结果强烈表明,耐受性树突细胞可能是对抗MPO GN的一种新的,有效和安全的治疗方法。这种治疗对于抗MPO GN患者来说是一种巨大的好处,提高了他们的生活质量,让他们避免伴随着许多当前,非特异性治疗的危险副作用。事实上,这些细胞可能会通过防止对肾小球的微小血管损坏来提供有效治愈的抗MPO GN。
未来,奥戈斯科斯博士和她的同事计划通过从血管炎患者收集血细胞来进一步研究。然后将这些血细胞用NFκB抑制剂纯化并处理,并与人髓氧化酶孵育。然后将细胞注射回相同的患者,消除抑制的风险。希望这将使研究人员能够证明患者自己的耐受性树突细胞具有将其自身免疫转换为MPO的能力。Odobasic博士还计划在抗MPO GN中测试其他类型的耐受性树突细胞,因为免疫抑制的有效性和精确机制在不同类型的耐受性树突细胞之间变化。这将允许团队识别临床上进行测试的最佳树突细胞候选者。
最终,研究人员希望这项研究的积极结果将使他们能够在澳大利亚莫纳什大学的基地领导世界上第一个耐药性树突状细胞治疗抗mpo GN的临床试验。

个人反应
你们计划在其他情况下探索使用耐受性树突状细胞吗?

